Penetrating injuries to the heart are usually devastating and few patients survive the initial trauma. The most frequent penetrating injuries are caused by projectile injuries and less commonly by melee weapons. Most of these injuries involve chamber free walls and a small percentage can affect the interventricular septum. We report a case in which an emergency surgical procedure was successful in controlling cardiac tamponade, and repairing a right ventricular laceration caused by multiple stab wounds. Subsequently, a successful interventional occlusion of a large interventricular septal defect, associated with significantly augmented pulmonary flow was performed.
Hybrid interventional and surgical treatment of complex traumatic cardiac dagger wounds
Chierice,João Reynaldo Abbud and Figueiredo,Geraldo Luiz de and Lima-Filho,Moyses de Oliveira and Lago,Igor Matos and Costa,Rodrigo Nieckel da and Marin-Neto,José Antônio. Hybrid interventional and surgical treatment of complex traumatic cardiac dagger wounds. J Transcat Intervent [online]. 2021, vol.29, [cited 2026-05-13], Available from: <https://jotci.org/article/hybrid-interventional-and-surgical-treatment-of-complex-traumatic-cardiac-dagger-wounds/>. ISSN . http://doi.org/10.31160/JOTCI202129A20210008.
Chierice,João Reynaldo Abbud; Figueiredo,Geraldo Luiz de; Lima-Filho,Moyses de Oliveira; Lago,Igor Matos; Costa,Rodrigo Nieckel da; Marin-Neto,José Antônio. Hybrid interventional and surgical treatment of complex traumatic cardiac dagger wounds. J Transcat Intervent, v.29, Jul. 2021. Available from: <https://jotci.org/article/hybrid-interventional-and-surgical-treatment-of-complex-traumatic-cardiac-dagger-wounds/>. acess on 13 May. 2026. http://doi.org/10.31160/JOTCI202129A20210008.
Chierice,João Reynaldo Abbud, & Figueiredo,Geraldo Luiz de, & Lima-Filho,Moyses de Oliveira, & Lago,Igor Matos, & Costa,Rodrigo Nieckel da, & Marin-Neto,José Antônio. (2021). Hybrid interventional and surgical treatment of complex traumatic cardiac dagger wounds. J Transcat Intervent, 29, http://doi.org/10.31160/JOTCI202129A20210008.
ChiericeJoão Reynaldo Abbud, FigueiredoGeraldo Luiz de, Lima-FilhoMoyses de Oliveira, LagoIgor Matos, CostaRodrigo Nieckel da, Marin-NetoJosé Antônio. Hybrid interventional and surgical treatment of complex traumatic cardiac dagger wounds. J Transcat Intervent [Internet]. 2021 Jul [cited 2026 May 13]; 29: Available from: https://jotci.org/article/hybrid-interventional-and-surgical-treatment-of-complex-traumatic-cardiac-dagger-wounds/. http://doi.org/10.31160/JOTCI202129A20210008.
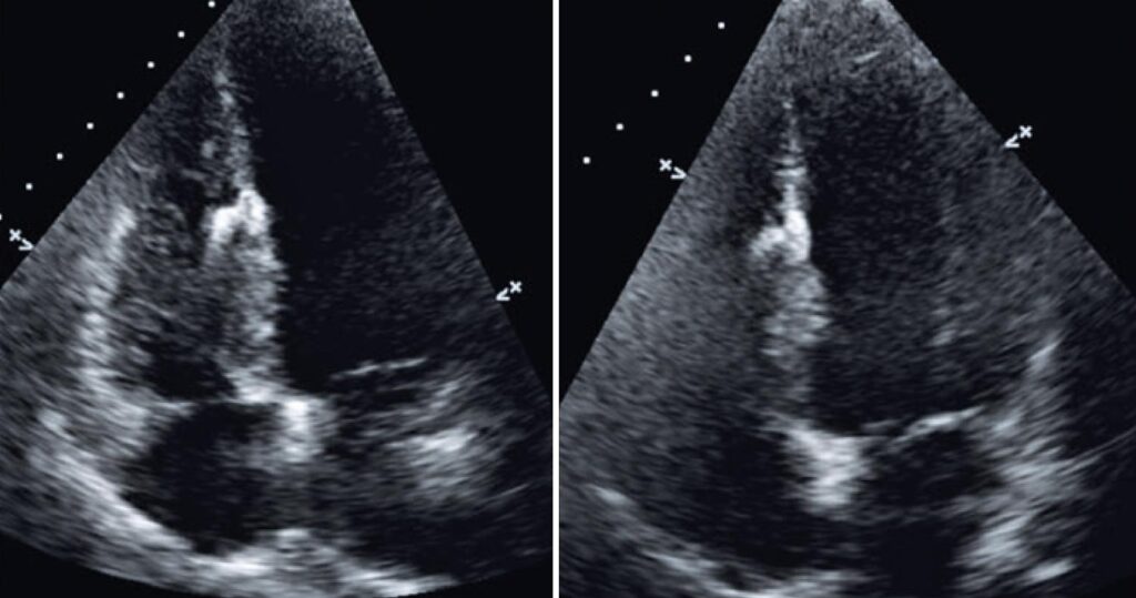
Figure 4
Transesophageal echocardiogram after the procedure showing a well-positioned prosthesis, with no signs of complications and no residual transseptal flow.