Intimal thickening in cardiac allograft vasculopathy and intravascular ultrasound guided angioplasty of left main coronary artery and left anterior descending artery. Case report and literature review
Cardiac transplantation is the common final route of severe heart disease in eligible patients. Among the challenges of this treatment is cardiac allograft vasculopathy, the main cause of morbidity and late mortality after heart transplantation, accounting for 12.5% of deaths after the first year. In the last two decades, numerous studies have been published validating the measurement of maximum intimal thickening observed in intracoronary ultrasound as a predictor of poor prognosis when greater than 0.5mm. We report a case of cardiac allograft vasculopathy undergoing intravascular coronary ultrasound-guided percutaneous treatment and discuss the main characteristics of the intravascular images.
Intimal thickening in cardiac allograft vasculopathy and intravascular ultrasound guided angioplasty of left main coronary artery and left anterior descending artery. Case report and literature review
Luciano,Luis Sérgio Carvalho and Júnior,José Mariani and Arrieta,Santiago Raul and Kajita,Luiz Junya and Azeka,Estela and Silva,Expedito Eustáquio Ribeiro da. Intimal thickening in cardiac allograft vasculopathy and intravascular ultrasound guided angioplasty of left main coronary artery and left anterior descending artery. Case report and literature review. J Transcat Intervent [online]. 2020, vol.28, [cited 2026-05-13], Available from: <https://jotci.org/article/intimal-thickening-in-cardiac-allograft-vasculopathy-and-intravascular-ultrasound-guided-angioplasty-of-left-main-coronary-artery-and-left-anterior-descending-artery-case-report-and-literature-review/>. ISSN . https://doi.org/10.31160/JOTCI202028A20190031.
Luciano,Luis Sérgio Carvalho; Júnior,José Mariani; Arrieta,Santiago Raul; Kajita,Luiz Junya; Azeka,Estela; Silva,Expedito Eustáquio Ribeiro da. Intimal thickening in cardiac allograft vasculopathy and intravascular ultrasound guided angioplasty of left main coronary artery and left anterior descending artery. Case report and literature review. J Transcat Intervent, v.28, Apr. 2020. Available from: <https://jotci.org/article/intimal-thickening-in-cardiac-allograft-vasculopathy-and-intravascular-ultrasound-guided-angioplasty-of-left-main-coronary-artery-and-left-anterior-descending-artery-case-report-and-literature-review/>. acess on 13 May. 2026. https://doi.org/10.31160/JOTCI202028A20190031.
Luciano,Luis Sérgio Carvalho, & Júnior,José Mariani, & Arrieta,Santiago Raul, & Kajita,Luiz Junya, & Azeka,Estela, & Silva,Expedito Eustáquio Ribeiro da. (2020). Intimal thickening in cardiac allograft vasculopathy and intravascular ultrasound guided angioplasty of left main coronary artery and left anterior descending artery. Case report and literature review. J Transcat Intervent, 28, https://doi.org/10.31160/JOTCI202028A20190031.
LucianoLuis Sérgio Carvalho, JúniorJosé Mariani, ArrietaSantiago Raul, KajitaLuiz Junya, AzekaEstela, SilvaExpedito Eustáquio Ribeiro da. Intimal thickening in cardiac allograft vasculopathy and intravascular ultrasound guided angioplasty of left main coronary artery and left anterior descending artery. Case report and literature review. J Transcat Intervent [Internet]. 2020 Apr [cited 2026 May 13]; 28: Available from: https://jotci.org/article/intimal-thickening-in-cardiac-allograft-vasculopathy-and-intravascular-ultrasound-guided-angioplasty-of-left-main-coronary-artery-and-left-anterior-descending-artery-case-report-and-literature-review/. https://doi.org/10.31160/JOTCI202028A20190031.
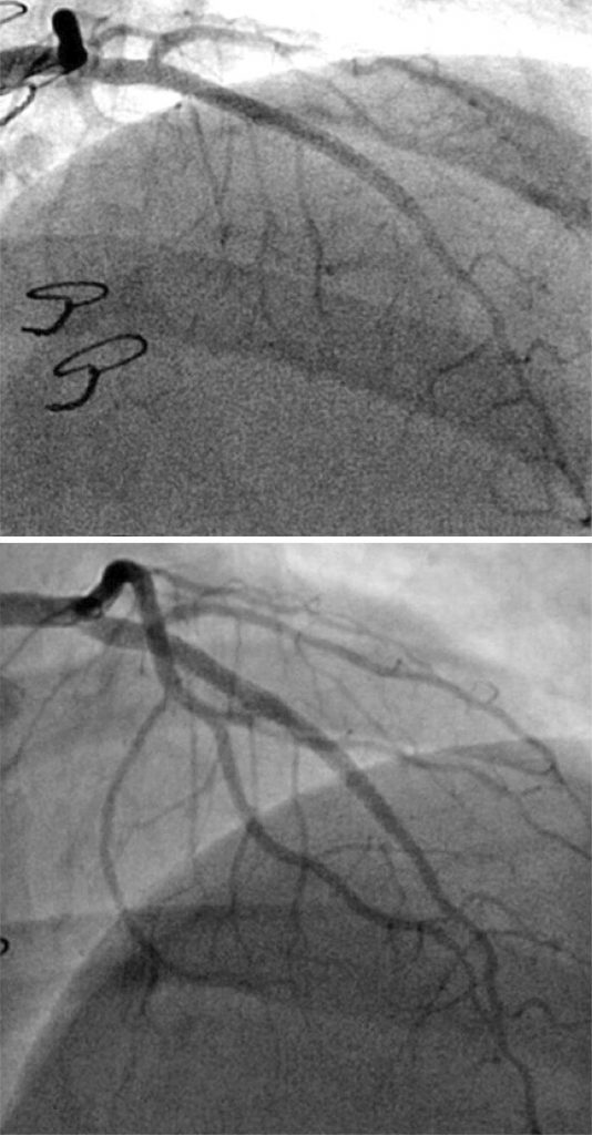
Figure 4
Final coronary angiography and 3-month follow-up coronary angiography