Occlusion of a large fistula between the right coronary artery and the right ventricular cavity using Amplatzer® Vascular Plug II. Case report and technical description of the procedure
Coronary arteriovenous fistulas are rare anomalies that connect one or more coronary arteries to a cardiac chamber or other vascular structure. These communications can be occluded using percutaneous treatment, and there are currently several approaches and techniques. We report the case of an adolescent aged 12 years and 10 months, with a large fistula of the right coronary artery draining into the right ventricular cavity, in which the Amplatzer® Vascular Plug II device was used. The technical steps used are described in detail, with excellent immediate results.
Occlusion of a large fistula between the right coronary artery and the right ventricular cavity using Amplatzer® Vascular Plug II. Case report and technical description of the procedure
Teixeirense,Pablo Tomé and Toledo,João Felipe Barros de and Gubolino,Luiz Antônio and Neto,Wilson Pedro Guimarães and Souza,Vanessa and Rios,Gleyson. Occlusion of a large fistula between the right coronary artery and the right ventricular cavity using Amplatzer® Vascular Plug II. Case report and technical description of the procedure. J Transcat Intervent [online]. 2020, vol.28, [cited 2026-05-15], Available from: <https://jotci.org/article/occlusion-of-a-large-fistula-between-the-right-coronary-artery-and-the-right-ventricular-cavity-using-amplatzer-vascular-plug-ii-case-report-and-technical-description-of-the-procedure/>. ISSN . https://doi.org/10.31160/JOTCI202028A20200012.
Teixeirense,Pablo Tomé; Toledo,João Felipe Barros de; Gubolino,Luiz Antônio; Neto,Wilson Pedro Guimarães; Souza,Vanessa; Rios,Gleyson. Occlusion of a large fistula between the right coronary artery and the right ventricular cavity using Amplatzer® Vascular Plug II. Case report and technical description of the procedure. J Transcat Intervent, v.28, Nov. 2020. Available from: <https://jotci.org/article/occlusion-of-a-large-fistula-between-the-right-coronary-artery-and-the-right-ventricular-cavity-using-amplatzer-vascular-plug-ii-case-report-and-technical-description-of-the-procedure/>. acess on 15 May. 2026. https://doi.org/10.31160/JOTCI202028A20200012.
Teixeirense,Pablo Tomé, & Toledo,João Felipe Barros de, & Gubolino,Luiz Antônio, & Neto,Wilson Pedro Guimarães, & Souza,Vanessa, & Rios,Gleyson. (2020). Occlusion of a large fistula between the right coronary artery and the right ventricular cavity using Amplatzer® Vascular Plug II. Case report and technical description of the procedure. J Transcat Intervent, 28, https://doi.org/10.31160/JOTCI202028A20200012.
TeixeirensePablo Tomé, ToledoJoão Felipe Barros de, GubolinoLuiz Antônio, NetoWilson Pedro Guimarães, SouzaVanessa, RiosGleyson. Occlusion of a large fistula between the right coronary artery and the right ventricular cavity using Amplatzer® Vascular Plug II. Case report and technical description of the procedure. J Transcat Intervent [Internet]. 2020 Nov [cited 2026 May 15]; 28: Available from: https://jotci.org/article/occlusion-of-a-large-fistula-between-the-right-coronary-artery-and-the-right-ventricular-cavity-using-amplatzer-vascular-plug-ii-case-report-and-technical-description-of-the-procedure/. https://doi.org/10.31160/JOTCI202028A20200012.
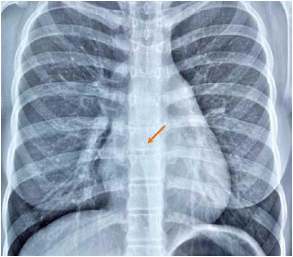
Figure 5
Chest radiography in anteroposterior view. After the procedure, the chest radiography shows prominence of the third arch, denoting pulmonary artery dilation, a prominent pulmonary vasculature, and an image compatible with a metallic device positioned on the topography of the right coronary artery (arrow).