The prevalence of cerebrovascular complications after cardiac catheterization is low. These include stroke, transient ischemic attack, and amaurosis fugax. Cortical blindness is a rare, bilateral clinical condition of largely ischemic etiology, characterized by damage to the cerebral cortex, which manifests with acute reduction of visual acuity. Usually, neuro-ophthalmic complications of cardiac catheterization are correlated with embolic phenomena or migraine. We report a case of transient cortical blindness during coronary and aortocoronary bypass graft angiography.
Transient cortical blindness during coronary and aortocoronary bypass graft angiography
Bonfim,Alexandre Vidal and Souza,Ronald de and Beraldo,Daniel de Oliveira and Viotti,Carlos Nicoliello and Vieira,Paulo Afonso. Transient cortical blindness during coronary and aortocoronary bypass graft angiography. J Transcat Intervent [online]. 2021, vol.29, [cited 2026-05-13], Available from: <https://jotci.org/article/transient-cortical-blindness-during-coronary-and-aortocoronary-bypass-graft-angiography/>. ISSN . http://doi.org/10.31160/JOTCI202129A20200044.
Bonfim,Alexandre Vidal; Souza,Ronald de; Beraldo,Daniel de Oliveira; Viotti,Carlos Nicoliello; Vieira,Paulo Afonso. Transient cortical blindness during coronary and aortocoronary bypass graft angiography. J Transcat Intervent, v.29, May. 2021. Available from: <https://jotci.org/article/transient-cortical-blindness-during-coronary-and-aortocoronary-bypass-graft-angiography/>. acess on 13 May. 2026. http://doi.org/10.31160/JOTCI202129A20200044.
Bonfim,Alexandre Vidal, & Souza,Ronald de, & Beraldo,Daniel de Oliveira, & Viotti,Carlos Nicoliello, & Vieira,Paulo Afonso. (2021). Transient cortical blindness during coronary and aortocoronary bypass graft angiography. J Transcat Intervent, 29, http://doi.org/10.31160/JOTCI202129A20200044.
BonfimAlexandre Vidal, SouzaRonald de, BeraldoDaniel de Oliveira, ViottiCarlos Nicoliello, VieiraPaulo Afonso. Transient cortical blindness during coronary and aortocoronary bypass graft angiography. J Transcat Intervent [Internet]. 2021 May [cited 2026 May 13]; 29: Available from: https://jotci.org/article/transient-cortical-blindness-during-coronary-and-aortocoronary-bypass-graft-angiography/. http://doi.org/10.31160/JOTCI202129A20200044.
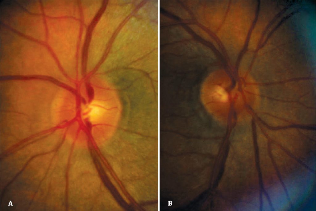
Figure 3
Retinography of the right (A) and left eyes (B). Papillae with clear edges, normal color, physiological excavation. Arteriovenous ratio, arteriolar brightness, and crossing within normal range. Choroid and retina with no hemorrhages and/or exudates.