Type 2 variant A spontaneous dissection of the left anterior descending artery presenting as type A Wellens’ syndrome: when percutaneous coronary intervention is needed
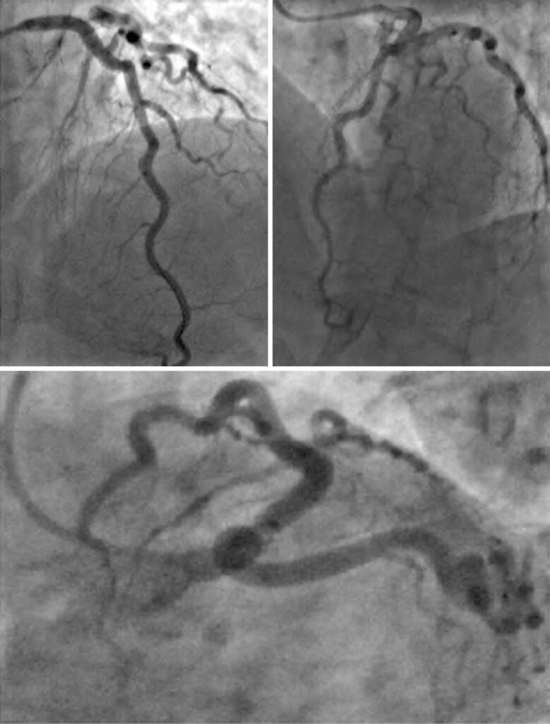
Spontaneous coronary artery dissection is defined as non-iatrogenic epicardial coronary dissection, not associated with atherosclerosis or trauma. Myocardial injury occurs due to coronary artery obstruction caused by intramural hematoma or intimal disruption, rather than atherosclerotic plaque rupture or intraluminal thrombus. We report a case of type 2 variant A spontaneous coronary artery dissection in the mid left anterior descending artery, presenting with type A Wellens’ syndrome, which required percutaneous coronary intervention for relief of refractory angina and pulmonary congestion.
Type 2 variant A spontaneous dissection of the left anterior descending artery presenting as type A Wellens’ syndrome: when percutaneous coronary intervention is needed
Oliveira,Marcos Danillo Peixoto and Amaral,Thiago Stocco and Batista,Igor Ramon and Tavares,Adriana Caroline Medeiros and Nascimento,Cícera Isabella and Caixeta,Adriano. Type 2 variant A spontaneous dissection of the left anterior descending artery presenting as type A Wellens’ syndrome: when percutaneous coronary intervention is needed. J Transcat Intervent [online]. 2022, vol.30, [cited 2026-05-13], Available from: <https://jotci.org/article/type-2-variant-a-spontaneous-dissection-of-the-left-anterior-descending-artery-presenting-as-type-a-wellens-syndrome-when-percutaneous-coronary-intervention-is-needed/>. ISSN . http://doi.org/10.31160/JOTCI202230A20210044.
Oliveira,Marcos Danillo Peixoto; Amaral,Thiago Stocco; Batista,Igor Ramon; Tavares,Adriana Caroline Medeiros; Nascimento,Cícera Isabella; Caixeta,Adriano. Type 2 variant A spontaneous dissection of the left anterior descending artery presenting as type A Wellens’ syndrome: when percutaneous coronary intervention is needed. J Transcat Intervent, v.30, Mar. 2022. Available from: <https://jotci.org/article/type-2-variant-a-spontaneous-dissection-of-the-left-anterior-descending-artery-presenting-as-type-a-wellens-syndrome-when-percutaneous-coronary-intervention-is-needed/>. acess on 13 May. 2026. http://doi.org/10.31160/JOTCI202230A20210044.
Oliveira,Marcos Danillo Peixoto, & Amaral,Thiago Stocco, & Batista,Igor Ramon, & Tavares,Adriana Caroline Medeiros, & Nascimento,Cícera Isabella, & Caixeta,Adriano. (2022). Type 2 variant A spontaneous dissection of the left anterior descending artery presenting as type A Wellens’ syndrome: when percutaneous coronary intervention is needed. J Transcat Intervent, 30, http://doi.org/10.31160/JOTCI202230A20210044.
OliveiraMarcos Danillo Peixoto, AmaralThiago Stocco, BatistaIgor Ramon, TavaresAdriana Caroline Medeiros, NascimentoCícera Isabella, CaixetaAdriano. Type 2 variant A spontaneous dissection of the left anterior descending artery presenting as type A Wellens’ syndrome: when percutaneous coronary intervention is needed. J Transcat Intervent [Internet]. 2022 Mar [cited 2026 May 13]; 30: Available from: https://jotci.org/article/type-2-variant-a-spontaneous-dissection-of-the-left-anterior-descending-artery-presenting-as-type-a-wellens-syndrome-when-percutaneous-coronary-intervention-is-needed/. http://doi.org/10.31160/JOTCI202230A20210044.