J Transcat Intervent.2023;31:eA20230006.
Another failed surgical bioprosthetic valve: a second transcatheter valve-in-valve solution
ABSTRACT
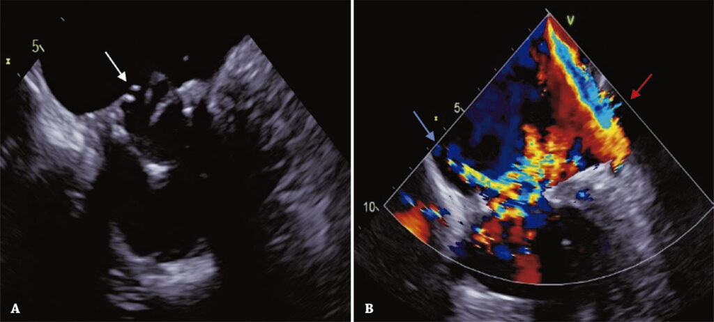
Transcatheter mitral valve-in-valve replacement has recently emerged as an increasingly common alternative for high surgical risk patients. We report a case of a successful transseptal transcatheter mitral valve-in-valve replacement for the treatment of a bioprosthetic mitral valve degeneration and severe regurgitation, in an 86-year-old patient who had undergone transcatheter aortic valve-in-valve procedure 6 years ago. This case emphasizes the crucial role of a careful preoperative assessment using multimodality imaging to plan the procedure, in a patient with higher risk of left ventricular outflow obstruction due to the previous transcatheter aortic valve-in-valve procedure.
153
