J Transcat Intervent.2023;31:eA20230006.
Outra falha de bioprótese valvar cirúrgica: uma segunda solução transcateter valve-in-valve
RESUMO
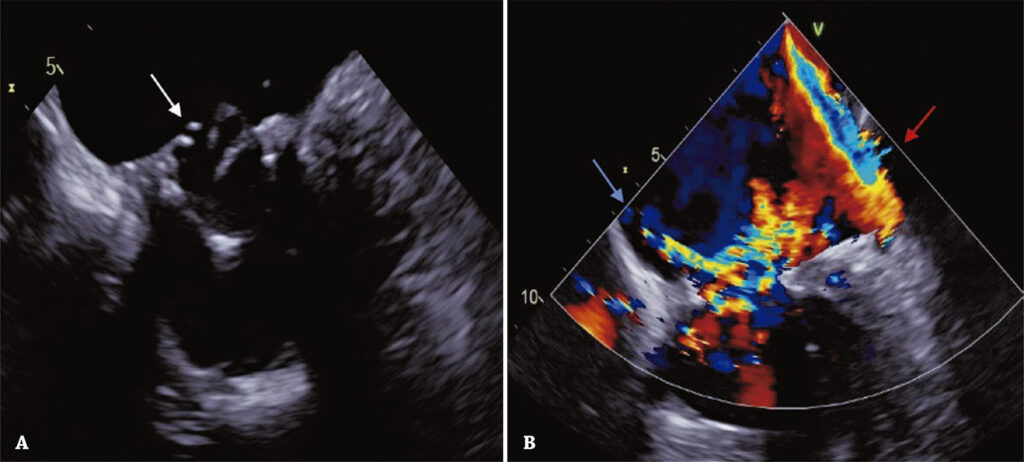
A substituição transcateter valve-in-valve da valva mitral surgiu recentemente como uma alternativa cada vez mais utilizada nos pacientes de alto risco cirúrgico. O presente caso relata uma substituição de valva mitral transcateter valve-in-valve, por via transeptal, como tratamento da degeneração de uma bioprótese mitral cirúrgica e regurgitação grave, em paciente de 86 anos já submetido a uma substituição transcateter valve-in-valve aórtica, há 6 anos. Este caso enfatiza o papel crucial de uma avaliação pré-operatória cuidadosa, com uso de diferentes modalidades de exames de imagem, para planejamento do procedimento, em paciente com maior risco de obstrução da via de saída do ventrículo esquerdo, devido a um procedimento valve-in-valve aórtico prévio.
Palavras-chave: Falha de prótese; Implante de prótese de valva cardíaca; Valva aórtica; Valva mitral
152
