Coronary artery perforation is a rare but potentially lethal complication of percutaneous coronary intervention, mainly due to hemodynamic compromise secondary to cardiac tamponade development. All interventional cardiologists must thus be able to promptly recognize and solve coronary artery perforation. We describe a successfully and conservatively managed type III coronary artery perforation with prolonged balloon inflations, in the absence of covered stents and without compromising the percutaneous coronary intervention result by anticoagulation reversal.
Conservative type III coronary perforation management: when the basic treatment is life-saving
Oliveira,Marcos Danillo Peixoto and Trigueiro,Valter and Batista,Igor Ramon and Caixeta,Adriano. Conservative type III coronary perforation management: when the basic treatment is life-saving. J Transcat Intervent [online]. 2020, vol.28, [cited 2026-05-13], Available from: <https://jotci.org/article/conservative-type-iii-coronary-perforation-management-when-the-basic-treatment-is-life-saving/>. ISSN . https://doi.org/10.31160/JOTCI202028A20200028.
Oliveira,Marcos Danillo Peixoto; Trigueiro,Valter; Batista,Igor Ramon; Caixeta,Adriano. Conservative type III coronary perforation management: when the basic treatment is life-saving. J Transcat Intervent, v.28, Nov. 2020. Available from: <https://jotci.org/article/conservative-type-iii-coronary-perforation-management-when-the-basic-treatment-is-life-saving/>. acess on 13 May. 2026. https://doi.org/10.31160/JOTCI202028A20200028.
Oliveira,Marcos Danillo Peixoto, & Trigueiro,Valter, & Batista,Igor Ramon, & Caixeta,Adriano. (2020). Conservative type III coronary perforation management: when the basic treatment is life-saving. J Transcat Intervent, 28, https://doi.org/10.31160/JOTCI202028A20200028.
OliveiraMarcos Danillo Peixoto, TrigueiroValter, BatistaIgor Ramon, CaixetaAdriano. Conservative type III coronary perforation management: when the basic treatment is life-saving. J Transcat Intervent [Internet]. 2020 Nov [cited 2026 May 13]; 28: Available from: https://jotci.org/article/conservative-type-iii-coronary-perforation-management-when-the-basic-treatment-is-life-saving/. https://doi.org/10.31160/JOTCI202028A20200028.
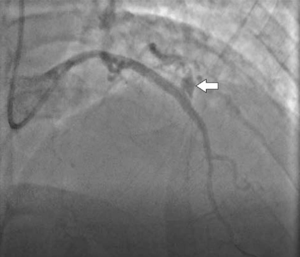
Figure 2
In-stent left anterior descending type III perforation (white arrow), with frank pericardial drainage.