A perfuração da artéria coronária é uma complicação rara, mas potencialmente letal, da intervenção coronária percutânea, sobretudo pelo comprometimento hemodinâmico secundário ao desenvolvimento de tamponamento cardíaco. Todos os cardiologistas intervencionistas devem ser capazes de reconhecer e resolver prontamente a perfuração da artéria coronária. Descrevemos uma perfuração da artéria coronária tipo III tratada com sucesso e de forma conservadora, com insuflações de balão prolongadas, na ausência de stents recobertos, e sem comprometer o resultado da intervenção coronária percutânea pela reversão da anticoagulação.
Conduta conservadora na perfuração coronária tipo III: quando o tratamento básico salva vidas
Oliveira,Marcos Danillo Peixoto and Trigueiro,Valter and Batista,Igor Ramon and Caixeta,Adriano. Conduta conservadora na perfuração coronária tipo III: quando o tratamento básico salva vidas. J Transcat Intervent [online]. 2020, vol.28, [cited 2026-05-13], Available from: <https://jotci.org/pt-br/article/conduta-conservadora-na-perfuracao-coronaria-tipo-iii-quando-o-tratamento-basico-salva-vidas/>. ISSN . http://doi.org/10.31160/JOTCI202028A20200028.
Oliveira,Marcos Danillo Peixoto; Trigueiro,Valter; Batista,Igor Ramon; Caixeta,Adriano. Conduta conservadora na perfuração coronária tipo III: quando o tratamento básico salva vidas. J Transcat Intervent, v.28, nov. 2020. Available from: <https://jotci.org/pt-br/article/conduta-conservadora-na-perfuracao-coronaria-tipo-iii-quando-o-tratamento-basico-salva-vidas/>. acess on 13 May. 2026. http://doi.org/10.31160/JOTCI202028A20200028.
Oliveira,Marcos Danillo Peixoto, & Trigueiro,Valter, & Batista,Igor Ramon, & Caixeta,Adriano. (2020). Conduta conservadora na perfuração coronária tipo III: quando o tratamento básico salva vidas. J Transcat Intervent, 28, http://doi.org/10.31160/JOTCI202028A20200028.
OliveiraMarcos Danillo Peixoto, TrigueiroValter, BatistaIgor Ramon, CaixetaAdriano. Conduta conservadora na perfuração coronária tipo III: quando o tratamento básico salva vidas. J Transcat Intervent [Internet]. 2020 nov [cited 2026 May 13]; 28: Available from: https://jotci.org/pt-br/article/conduta-conservadora-na-perfuracao-coronaria-tipo-iii-quando-o-tratamento-basico-salva-vidas/. http://doi.org/10.31160/JOTCI202028A20200028.
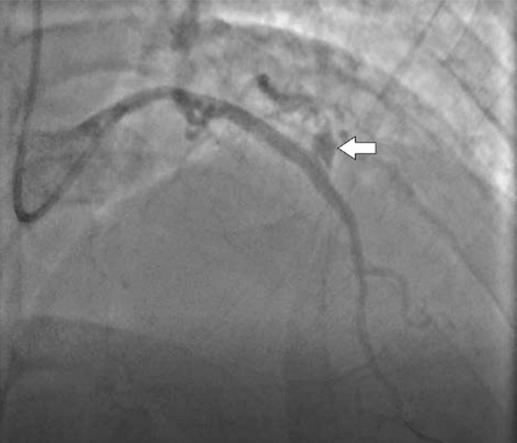
Figura 2
Perfuração em descendente anterior tipo III intra-stent (seta branca), com franco extravasamento para o pericárdio.