Follow-up protocol for patients with delayed skin reactions due to interventional cardiology procedures: follow-up of patients with skin reactions due to radiation
Interventional cardiology procedures can generate high doses of ionizing radiation and delayed skin reactions in patients undergoing complex procedures with a substantial radiation dose level. Since 2014, we have implemented, in the cath lab, the monitoring of patients undergoing procedures with a substantial radiation dose level, to identify these patients and provide patient care support. We present two case reports of such patients, who are undergoing dermatological treatment. The implemented protocol provided specialized treatment for the patients and awareness of radiation safety among health workers.
Follow-up protocol for patients with delayed skin reactions due to interventional cardiology procedures: follow-up of patients with skin reactions due to radiation
Barbosa,Patrícia Lopes and Barbosa,Adriano Henrique Pereira and Romanini,Pedro Memrava and Denti,Heiglon Estevão Bonella and Florian,Marcos César and Medeiros,Regina Bitelli. Follow-up protocol for patients with delayed skin reactions due to interventional cardiology procedures: follow-up of patients with skin reactions due to radiation. J Transcat Intervent [online]. 2023, vol.31, [cited 2026-05-13], Available from: <https://jotci.org/article/follow-up-protocol-for-patients-with-delayed-skin-reactions-due-to-interventional-cardiology-procedures-follow-up-of-patients-with-skin-reactions-due-to-radiation/>. ISSN . .
Barbosa,Patrícia Lopes; Barbosa,Adriano Henrique Pereira; Romanini,Pedro Memrava; Denti,Heiglon Estevão Bonella; Florian,Marcos César; Medeiros,Regina Bitelli. Follow-up protocol for patients with delayed skin reactions due to interventional cardiology procedures: follow-up of patients with skin reactions due to radiation. J Transcat Intervent, v.31, Dec. 2023. Available from: <https://jotci.org/article/follow-up-protocol-for-patients-with-delayed-skin-reactions-due-to-interventional-cardiology-procedures-follow-up-of-patients-with-skin-reactions-due-to-radiation/>. acess on 13 May. 2026. .
Barbosa,Patrícia Lopes, & Barbosa,Adriano Henrique Pereira, & Romanini,Pedro Memrava, & Denti,Heiglon Estevão Bonella, & Florian,Marcos César, & Medeiros,Regina Bitelli. (2023). Follow-up protocol for patients with delayed skin reactions due to interventional cardiology procedures: follow-up of patients with skin reactions due to radiation. J Transcat Intervent, 31, .
BarbosaPatrícia Lopes, BarbosaAdriano Henrique Pereira, RomaniniPedro Memrava, DentiHeiglon Estevão Bonella, FlorianMarcos César, MedeirosRegina Bitelli. Follow-up protocol for patients with delayed skin reactions due to interventional cardiology procedures: follow-up of patients with skin reactions due to radiation. J Transcat Intervent [Internet]. 2023 Dec [cited 2026 May 13]; 31: Available from: https://jotci.org/article/follow-up-protocol-for-patients-with-delayed-skin-reactions-due-to-interventional-cardiology-procedures-follow-up-of-patients-with-skin-reactions-due-to-radiation/. .
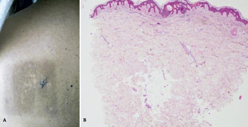
Figure 1
Photographs of the skin in the left scapular region of case 1 patient after 4 (A) and 8 (B) months of percutaneous coronary intervention, in September 2020 and January 2021, respectively. Cumulative kerma of 16.2 Gy in two procedures with one-week interval. A hyperplastic lesion can be seen in the epidermis (B), with a slight increase in melanin pigmentation in the basal layer and a slight pigment discharge in the papillary dermis (melanoderma). The dermis has preserved collagen fibers (hematoxylin-eosin 20x).