Protocolo de seguimento de pacientes com reações de pele tardias devido a procedimentos cardiológicos intervencionistas: seguimento de pacientes com reações de pele devido à radiação
Os procedimentos cardiológicos intervencionistas podem gerar doses altas de radiação ionizante e reações tardias na pele de pacientes submetidos a procedimentos complexos, classificados como nível de dose substancial. Implementamos desde 2014, no laboratório de hemodinâmica, o monitoramento de pacientes submetidos a procedimentos com nível de dose substancial, para identificá-los e oferecer suporte assistencial. Apresentamos dois relatos de caso desses pacientes, que se encontram em tratamento dermatológico. O protocolo implementado proporcionou tratamento especializado aos pacientes e conscientização dos profissionais quanto à radioproteção.
Protocolo de seguimento de pacientes com reações de pele tardias devido a procedimentos cardiológicos intervencionistas: seguimento de pacientes com reações de pele devido à radiação
Barbosa,Patrícia Lopes and Barbosa,Adriano Henrique Pereira and Romanini,Pedro Memrava and Denti,Heiglon Estevão Bonella and Florian,Marcos César and Medeiros,Regina Bitelli. Protocolo de seguimento de pacientes com reações de pele tardias devido a procedimentos cardiológicos intervencionistas: seguimento de pacientes com reações de pele devido à radiação. J Transcat Intervent [online]. 2023, vol.31, [cited 2026-05-13], Available from: <https://jotci.org/pt-br/article/protocolo-de-seguimento-de-pacientes-com-reacoes-de-pele-tardias-devido-a-procedimentos-cardiologicos-intervencionistas-seguimento-de-pacientes-com-reacoes-de-pele-devido-a-radiacao/>. ISSN . .
Barbosa,Patrícia Lopes; Barbosa,Adriano Henrique Pereira; Romanini,Pedro Memrava; Denti,Heiglon Estevão Bonella; Florian,Marcos César; Medeiros,Regina Bitelli. Protocolo de seguimento de pacientes com reações de pele tardias devido a procedimentos cardiológicos intervencionistas: seguimento de pacientes com reações de pele devido à radiação. J Transcat Intervent, v.31, dez. 2023. Available from: <https://jotci.org/pt-br/article/protocolo-de-seguimento-de-pacientes-com-reacoes-de-pele-tardias-devido-a-procedimentos-cardiologicos-intervencionistas-seguimento-de-pacientes-com-reacoes-de-pele-devido-a-radiacao/>. acess on 13 May. 2026. .
Barbosa,Patrícia Lopes, & Barbosa,Adriano Henrique Pereira, & Romanini,Pedro Memrava, & Denti,Heiglon Estevão Bonella, & Florian,Marcos César, & Medeiros,Regina Bitelli. (2023). Protocolo de seguimento de pacientes com reações de pele tardias devido a procedimentos cardiológicos intervencionistas: seguimento de pacientes com reações de pele devido à radiação. J Transcat Intervent, 31, .
BarbosaPatrícia Lopes, BarbosaAdriano Henrique Pereira, RomaniniPedro Memrava, DentiHeiglon Estevão Bonella, FlorianMarcos César, MedeirosRegina Bitelli. Protocolo de seguimento de pacientes com reações de pele tardias devido a procedimentos cardiológicos intervencionistas: seguimento de pacientes com reações de pele devido à radiação. J Transcat Intervent [Internet]. 2023 dez [cited 2026 May 13]; 31: Available from: https://jotci.org/pt-br/article/protocolo-de-seguimento-de-pacientes-com-reacoes-de-pele-tardias-devido-a-procedimentos-cardiologicos-intervencionistas-seguimento-de-pacientes-com-reacoes-de-pele-devido-a-radiacao/. .
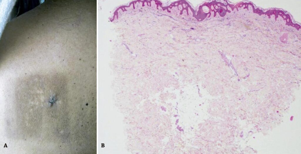
Figura 1
Fotos da pele na região escapular esquerda da paciente do caso 1 após 4 (A) e 8 (B) meses da intervenção coronária percutânea, em setembro de 2020 e janeiro de 2021, respectivamente. Kerma acumulado de 16,2Gy em dois procedimentos com intervalo de 1 semana. Nota-se na epiderme (B) lesão hiperplásica, com aumento discreto da pigmentação melânica na camada basal e discreto derrame pigmentar na derme papilar (melanodermia). A derme apresenta fibras colágenas preservadas (hematoxilina-eosina 20x).