J Transcat Intervent.2020;28:eA20190022.

In-hospital recurrent spontaneous coronary artery dissection affecting multiple arteries

Nara Kobbaz Pereira de Almeida ORCID logo , Marco Túlio de Souza, Adriano Caixeta

DOI: 10.31160/JOTCI202028A20190022

ABSTRACT

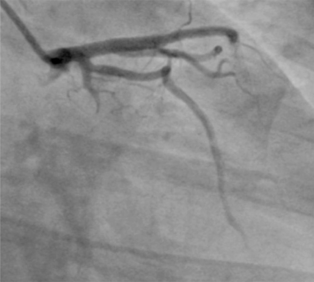
Spontaneous coronary artery dissection is an uncommon cause of myocardial ischemia. Although the first description dates from 1931, its diagnosis is sometimes made late and/or erroneously due to the lack of knowledge of its non-pathognomonic angiographic variations. Additionally, the proper management of this condition is not yet well established. Here we present a rare case of in-hospital recurrence of spontaneous dissection affecting both the left anterior descending and circumflex coronary arteries, with distinct clinical presentations.

In-hospital recurrent spontaneous coronary artery dissection affecting multiple arteries

Comments