J Transcat Intervent.2020;28:eA20190022.
Dissecção coronária espontânea recorrente intra-hospitalar afetando diversas artérias
DOI: 10.31160/JOTCI202028A20190022
RESUMO
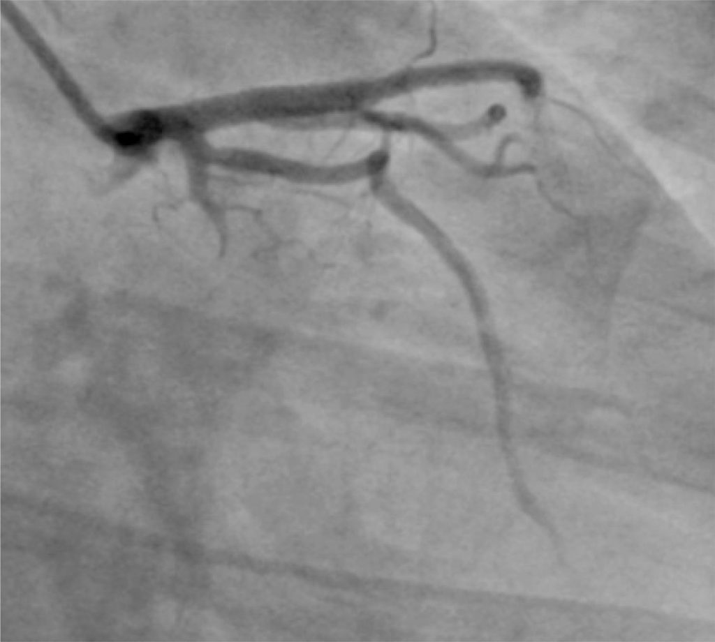
A dissecção espontânea da artéria coronária é uma causa rara de isquemia miocárdica. Apesar de a primeira descrição ter sido em 1931, o diagnóstico é feito, algumas vezes, tardiamente e/ou erroneamente, devido à falta de conhecimento de suas variações angiográficas não patognomônicas. Além disso, a conduta adequada para esta doença ainda não foi bem estabelecida. Apresentamos um caso raro de recorrência intra-hospitalar de dissecção espontânea envolvendo duas artérias coronárias − descendente anterior e circunflexa −, com distintas apresentações clínicas.
Palavras-chave: Angiografia coronária; Dissecção; Doença da artéria coronariana; Isquemia miocárdica
407
