Ostial left anterior descending (unprotected left main) primary percutaneous coronary intervention via distal transradial access in the setting of cardiogenic shock due to anterior ST-segment elevation myocardial infarction
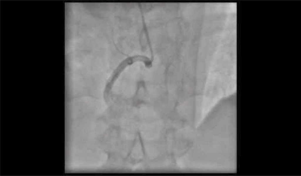
Despite the well-known benefits of transradial access, critically-ill patients presenting with cardiogenic shock are usually submitted to coronary angiography and percutaneous coronary intervention via classic transfemoral access, mainly due to difficult puncture of radial artery in the setting of hemodynamic instability. We report a challenging case of anterior ST-segment elevation myocardial infarction, complicated by cardiogenic shock, requiring primary percutaneous coronary intervention of ostial left anterior descending artery with two-stents technique, safely and successfully performed via right distal transradial access.
Ostial left anterior descending (unprotected left main) primary percutaneous coronary intervention via distal transradial access in the setting of cardiogenic shock due to anterior ST-segment elevation myocardial infarction
Oliveira,Marcos Danillo Peixoto and Navarro,Ednelson Cunha and Tavares,Fernando and Caixeta,Adriano. Ostial left anterior descending (unprotected left main) primary percutaneous coronary intervention via distal transradial access in the setting of cardiogenic shock due to anterior ST-segment elevation myocardial infarction. J Transcat Intervent [online]. 2020, vol.28, [cited 2026-05-15], Available from: <https://jotci.org/article/ostial-left-anterior-descending-unprotected-left-main-primary-percutaneous-coronary-intervention-via-distal-transradial-access-in-the-setting-of-cardiogenic-shock-due-to-anterior-st-segment-elevatio/>. ISSN . https://doi.org/10.31160/JOTCI202028A2020000017.
Oliveira,Marcos Danillo Peixoto; Navarro,Ednelson Cunha; Tavares,Fernando; Caixeta,Adriano. Ostial left anterior descending (unprotected left main) primary percutaneous coronary intervention via distal transradial access in the setting of cardiogenic shock due to anterior ST-segment elevation myocardial infarction. J Transcat Intervent, v.28, Aug. 2020. Available from: <https://jotci.org/article/ostial-left-anterior-descending-unprotected-left-main-primary-percutaneous-coronary-intervention-via-distal-transradial-access-in-the-setting-of-cardiogenic-shock-due-to-anterior-st-segment-elevatio/>. acess on 15 May. 2026. https://doi.org/10.31160/JOTCI202028A2020000017.
Oliveira,Marcos Danillo Peixoto, & Navarro,Ednelson Cunha, & Tavares,Fernando, & Caixeta,Adriano. (2020). Ostial left anterior descending (unprotected left main) primary percutaneous coronary intervention via distal transradial access in the setting of cardiogenic shock due to anterior ST-segment elevation myocardial infarction. J Transcat Intervent, 28, https://doi.org/10.31160/JOTCI202028A2020000017.
OliveiraMarcos Danillo Peixoto, NavarroEdnelson Cunha, TavaresFernando, CaixetaAdriano. Ostial left anterior descending (unprotected left main) primary percutaneous coronary intervention via distal transradial access in the setting of cardiogenic shock due to anterior ST-segment elevation myocardial infarction. J Transcat Intervent [Internet]. 2020 Aug [cited 2026 May 15]; 28: Available from: https://jotci.org/article/ostial-left-anterior-descending-unprotected-left-main-primary-percutaneous-coronary-intervention-via-distal-transradial-access-in-the-setting-of-cardiogenic-shock-due-to-anterior-st-segment-elevatio/. https://doi.org/10.31160/JOTCI202028A2020000017.
Video 1
Well-developed Rentrop 3 collaterals from right coronary artery to left anterior descending.