Intervenção coronária percutânea primária em óstio da artéria descendente anterior (tronco de coronária esquerda não protegido) via acesso transradial distal em vigência de choque cardiogênico devido a infarto do miocárdio anterior
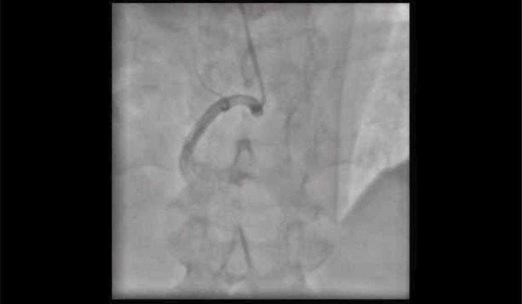
Apesar dos benefícios bem conhecidos do acesso radial, os pacientes criticamente enfermos com choque cardiogênico são geralmente submetidos à coronariografia e à intervenção coronária percutânea via acesso femoral, principalmente devido à dificuldade na punção da artéria radial em quadros de instabilidade hemodinâmica. Relatamos um caso desafiador de infarto do miocárdio com supradesnivelamento do segmento ST de parede anterior, complicado por choque cardiogênico, que exigiu intervenção coronária percutânea primária em óstio da artéria descendente anterior com técnica de dois stents, realizada com segurança e sucesso pelo acesso radial distal direito.
Intervenção coronária percutânea primária em óstio da artéria descendente anterior (tronco de coronária esquerda não protegido) via acesso transradial distal em vigência de choque cardiogênico devido a infarto do miocárdio anterior
Oliveira,Marcos Danillo Peixoto and Navarro,Ednelson Cunha and Tavares,Fernando and Caixeta,Adriano. Intervenção coronária percutânea primária em óstio da artéria descendente anterior (tronco de coronária esquerda não protegido) via acesso transradial distal em vigência de choque cardiogênico devido a infarto do miocárdio anterior. J Transcat Intervent [online]. 2020, vol.28, [cited 2026-05-15], Available from: <https://jotci.org/pt-br/article/intervencao-coronaria-percutanea-primaria-em-ostio-da-arteria-descendente-anterior-tronco-de-coronaria-esquerda-nao-protegido-via-acesso-transradial-distal-em-vigencia-de-choque-cardiogenico-devido/>. ISSN . http://doi.org/10.31160/JOTCI202028A2020000017.
Oliveira,Marcos Danillo Peixoto; Navarro,Ednelson Cunha; Tavares,Fernando; Caixeta,Adriano. Intervenção coronária percutânea primária em óstio da artéria descendente anterior (tronco de coronária esquerda não protegido) via acesso transradial distal em vigência de choque cardiogênico devido a infarto do miocárdio anterior. J Transcat Intervent, v.28, ago. 2020. Available from: <https://jotci.org/pt-br/article/intervencao-coronaria-percutanea-primaria-em-ostio-da-arteria-descendente-anterior-tronco-de-coronaria-esquerda-nao-protegido-via-acesso-transradial-distal-em-vigencia-de-choque-cardiogenico-devido/>. acess on 15 May. 2026. http://doi.org/10.31160/JOTCI202028A2020000017.
Oliveira,Marcos Danillo Peixoto, & Navarro,Ednelson Cunha, & Tavares,Fernando, & Caixeta,Adriano. (2020). Intervenção coronária percutânea primária em óstio da artéria descendente anterior (tronco de coronária esquerda não protegido) via acesso transradial distal em vigência de choque cardiogênico devido a infarto do miocárdio anterior. J Transcat Intervent, 28, http://doi.org/10.31160/JOTCI202028A2020000017.
OliveiraMarcos Danillo Peixoto, NavarroEdnelson Cunha, TavaresFernando, CaixetaAdriano. Intervenção coronária percutânea primária em óstio da artéria descendente anterior (tronco de coronária esquerda não protegido) via acesso transradial distal em vigência de choque cardiogênico devido a infarto do miocárdio anterior. J Transcat Intervent [Internet]. 2020 ago [cited 2026 May 15]; 28: Available from: https://jotci.org/pt-br/article/intervencao-coronaria-percutanea-primaria-em-ostio-da-arteria-descendente-anterior-tronco-de-coronaria-esquerda-nao-protegido-via-acesso-transradial-distal-em-vigencia-de-choque-cardiogenico-devido/. http://doi.org/10.31160/JOTCI202028A2020000017.
Vídeo 1
Colaterais Rentrop 3 bem desenvolvidas da artéria coronária direita para a descendente anterior.