Penetrating aortic ulcer is a rare entity with a poor prognosis within the spectrum of acute aortic syndrome. Even rarer are the cases located in the ascending aorta. This case demonstrates the importance of ancillary imaging methods for correct diagnosis and choice of the most appropriate management of this atypical presentation of the disease.
Penetrating aortic ulcer in unusual topography presenting as acute coronary syndrome
Pinto,Marcelo D’Anzicourt and Fonseca,André de Oliveira and Júnior,Vicente Paulo Resende and Schrul,Juan Felipe Castillo and Antônio,Renato Sanchez and Ferreira,Ricardo de Souza Alves. Penetrating aortic ulcer in unusual topography presenting as acute coronary syndrome. J Transcat Intervent [online]. 2019, vol.27, [cited 2026-05-15], Available from: <https://jotci.org/article/penetrating-aortic-ulcer-in-unusual-topography-presenting-as-acute-coronary-syndrome/>. ISSN . http://doi.org/10.31160/JOTCI201927A201817.
Pinto,Marcelo D’Anzicourt; Fonseca,André de Oliveira; Júnior,Vicente Paulo Resende; Schrul,Juan Felipe Castillo; Antônio,Renato Sanchez; Ferreira,Ricardo de Souza Alves. Penetrating aortic ulcer in unusual topography presenting as acute coronary syndrome. J Transcat Intervent, v.27, Mar. 2019. Available from: <https://jotci.org/article/penetrating-aortic-ulcer-in-unusual-topography-presenting-as-acute-coronary-syndrome/>. acess on 15 May. 2026. http://doi.org/10.31160/JOTCI201927A201817.
Pinto,Marcelo D’Anzicourt, & Fonseca,André de Oliveira, & Júnior,Vicente Paulo Resende, & Schrul,Juan Felipe Castillo, & Antônio,Renato Sanchez, & Ferreira,Ricardo de Souza Alves. (2019). Penetrating aortic ulcer in unusual topography presenting as acute coronary syndrome. J Transcat Intervent, 27, http://doi.org/10.31160/JOTCI201927A201817.
PintoMarcelo D’Anzicourt, FonsecaAndré de Oliveira, JúniorVicente Paulo Resende, SchrulJuan Felipe Castillo, AntônioRenato Sanchez, FerreiraRicardo de Souza Alves. Penetrating aortic ulcer in unusual topography presenting as acute coronary syndrome. J Transcat Intervent [Internet]. 2019 Mar [cited 2026 May 15]; 27: Available from: https://jotci.org/article/penetrating-aortic-ulcer-in-unusual-topography-presenting-as-acute-coronary-syndrome/. http://doi.org/10.31160/JOTCI201927A201817.
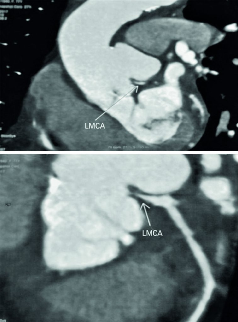
Figure 4
Computed tomography angiography showing extrinsic compression of the left main coronary artery. LMCA: left main coronary artery.