Úlcera aórtica penetrante é uma entidade rara e de prognóstico desfavorável dentro do espectro da síndrome aórtica aguda. Mais raros ainda são os casos localizados na aorta ascendente. O presente caso demonstra a importância dos métodos de imagem auxiliares para o correto diagnóstico e a escolha do tipo de abordagem terapêutica mais adequada nesta apresentação atípica da doença.
Úlcera aórtica penetrante em topografia não habitual manifestando-se como síndrome coronária aguda
Pinto,Marcelo D’Anzicourt and Fonseca,André de Oliveira and Júnior,Vicente Paulo Resende and Schrul,Juan Felipe Castillo and Antônio,Renato Sanchez and Ferreira,Ricardo de Souza Alves. Úlcera aórtica penetrante em topografia não habitual manifestando-se como síndrome coronária aguda. J Transcat Intervent [online]. 2019, vol.27, [cited 2026-05-13], Available from: <https://jotci.org/pt-br/article/ulcera-aortica-penetrante-em-topografia-nao-habitual-manifestando-se-como-sindrome-coronaria-aguda/>. ISSN . http://doi.org/10.31160/JOTCI201927A201817.
Pinto,Marcelo D’Anzicourt; Fonseca,André de Oliveira; Júnior,Vicente Paulo Resende; Schrul,Juan Felipe Castillo; Antônio,Renato Sanchez; Ferreira,Ricardo de Souza Alves. Úlcera aórtica penetrante em topografia não habitual manifestando-se como síndrome coronária aguda. J Transcat Intervent, v.27, mar. 2019. Available from: <https://jotci.org/pt-br/article/ulcera-aortica-penetrante-em-topografia-nao-habitual-manifestando-se-como-sindrome-coronaria-aguda/>. acess on 13 May. 2026. http://doi.org/10.31160/JOTCI201927A201817.
Pinto,Marcelo D’Anzicourt, & Fonseca,André de Oliveira, & Júnior,Vicente Paulo Resende, & Schrul,Juan Felipe Castillo, & Antônio,Renato Sanchez, & Ferreira,Ricardo de Souza Alves. (2019). Úlcera aórtica penetrante em topografia não habitual manifestando-se como síndrome coronária aguda. J Transcat Intervent, 27, http://doi.org/10.31160/JOTCI201927A201817.
PintoMarcelo D’Anzicourt, FonsecaAndré de Oliveira, JúniorVicente Paulo Resende, SchrulJuan Felipe Castillo, AntônioRenato Sanchez, FerreiraRicardo de Souza Alves. Úlcera aórtica penetrante em topografia não habitual manifestando-se como síndrome coronária aguda. J Transcat Intervent [Internet]. 2019 mar [cited 2026 May 13]; 27: Available from: https://jotci.org/pt-br/article/ulcera-aortica-penetrante-em-topografia-nao-habitual-manifestando-se-como-sindrome-coronaria-aguda/. http://doi.org/10.31160/JOTCI201927A201817.
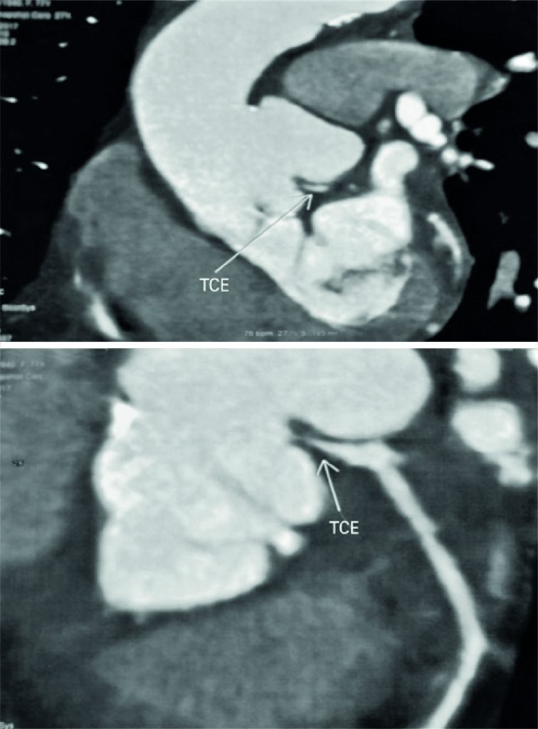
Figura 4
Angiotomografia demonstrando a compressão extrínseca do tronco da coronária esquerda. TCE: tronco de coronária esquerda.