Direct oral anticoagulants have been presented as a novel option for prevention and treatment of nonvalvular atrial fibrillation. However, significant hemorrhagic side effects have been observed with the use of these medications in recent years. The use of dabigatran in combination with p-glycoprotein inhibitors have been discussed due to its interactive effects. We present the case of a 74-year old female who developed spontaneous hemopericardium and cardiac tamponade induced by dabigatran combined with a p-glycoprotein inhibitor.
Spontaneous hemopericardium and cardiac tamponade induced by dabigatran in combination with p-glycoprotein inhibitor
Salas,Jose Pascual and Gaxiola,Efrain and Tejeda,Yara Itzel and Mendez,Alan. Spontaneous hemopericardium and cardiac tamponade induced by dabigatran in combination with p-glycoprotein inhibitor. J Transcat Intervent [online]. 2019, vol.27, [cited 2026-05-08], Available from: <https://jotci.org/article/spontaneous-hemopericardium-and-cardiac-tamponade-induced-by-dabigatran-in-combination-with-p-glycoprotein-inhibitor/>. ISSN . http://doi.org/10.31160/JOTCI201927A20180006.
Salas,Jose Pascual; Gaxiola,Efrain; Tejeda,Yara Itzel; Mendez,Alan. Spontaneous hemopericardium and cardiac tamponade induced by dabigatran in combination with p-glycoprotein inhibitor. J Transcat Intervent, v.27, Mar. 2019. Available from: <https://jotci.org/article/spontaneous-hemopericardium-and-cardiac-tamponade-induced-by-dabigatran-in-combination-with-p-glycoprotein-inhibitor/>. acess on 08 May. 2026. http://doi.org/10.31160/JOTCI201927A20180006.
Salas,Jose Pascual, & Gaxiola,Efrain, & Tejeda,Yara Itzel, & Mendez,Alan. (2019). Spontaneous hemopericardium and cardiac tamponade induced by dabigatran in combination with p-glycoprotein inhibitor. J Transcat Intervent, 27, http://doi.org/10.31160/JOTCI201927A20180006.
SalasJose Pascual, GaxiolaEfrain, TejedaYara Itzel, MendezAlan. Spontaneous hemopericardium and cardiac tamponade induced by dabigatran in combination with p-glycoprotein inhibitor. J Transcat Intervent [Internet]. 2019 Mar [cited 2026 May 08]; 27: Available from: https://jotci.org/article/spontaneous-hemopericardium-and-cardiac-tamponade-induced-by-dabigatran-in-combination-with-p-glycoprotein-inhibitor/. http://doi.org/10.31160/JOTCI201927A20180006.
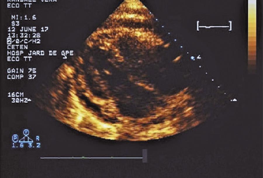
Figure 2
Global pericardial effusion observed by echocardiogram.