Os anticoagulantes orais diretos foram apresentados como nova opção para prevenção e tratamento de fibrilação atrial não valvar. Recentemente, foram observados efeitos colaterais hemorrágicos significativos com o uso desses medicamentos. O uso da dabigatrana em combinação com inibidores da glicoproteína-p foi discutido devido a seus efeitos interativos. Apresentamos o caso de uma paciente de 74 anos que desenvolveu hemopericárdio espontâneo e tamponamento cardíaco induzidos pela dabigatrana em combinação com inibidor da glicoproteína-p.
Hemopericárdio espontâneo e tamponamento cardíaco induzidos por dabigatrana em combinação com inibidor da glicoproteína-p
Salas,Jose Pascual and Gaxiola,Efrain and Tejeda,Yara Itzel and Mendez,Alan. Hemopericárdio espontâneo e tamponamento cardíaco induzidos por dabigatrana em combinação com inibidor da glicoproteína-p. J Transcat Intervent [online]. 2019, vol.27, [cited 2026-05-13], Available from: <https://jotci.org/pt-br/article/hemopericardio-espontaneo-e-tamponamento-cardiaco-induzidos-por-dabigatrana-em-combinacao-com-inibidor-da-glicoproteina-p/>. ISSN . http://doi.org/10.31160/JOTCI201927A20180006.
Salas,Jose Pascual; Gaxiola,Efrain; Tejeda,Yara Itzel; Mendez,Alan. Hemopericárdio espontâneo e tamponamento cardíaco induzidos por dabigatrana em combinação com inibidor da glicoproteína-p. J Transcat Intervent, v.27, mar. 2019. Available from: <https://jotci.org/pt-br/article/hemopericardio-espontaneo-e-tamponamento-cardiaco-induzidos-por-dabigatrana-em-combinacao-com-inibidor-da-glicoproteina-p/>. acess on 13 May. 2026. http://doi.org/10.31160/JOTCI201927A20180006.
Salas,Jose Pascual, & Gaxiola,Efrain, & Tejeda,Yara Itzel, & Mendez,Alan. (2019). Hemopericárdio espontâneo e tamponamento cardíaco induzidos por dabigatrana em combinação com inibidor da glicoproteína-p. J Transcat Intervent, 27, http://doi.org/10.31160/JOTCI201927A20180006.
SalasJose Pascual, GaxiolaEfrain, TejedaYara Itzel, MendezAlan. Hemopericárdio espontâneo e tamponamento cardíaco induzidos por dabigatrana em combinação com inibidor da glicoproteína-p. J Transcat Intervent [Internet]. 2019 mar [cited 2026 May 13]; 27: Available from: https://jotci.org/pt-br/article/hemopericardio-espontaneo-e-tamponamento-cardiaco-induzidos-por-dabigatrana-em-combinacao-com-inibidor-da-glicoproteina-p/. http://doi.org/10.31160/JOTCI201927A20180006.
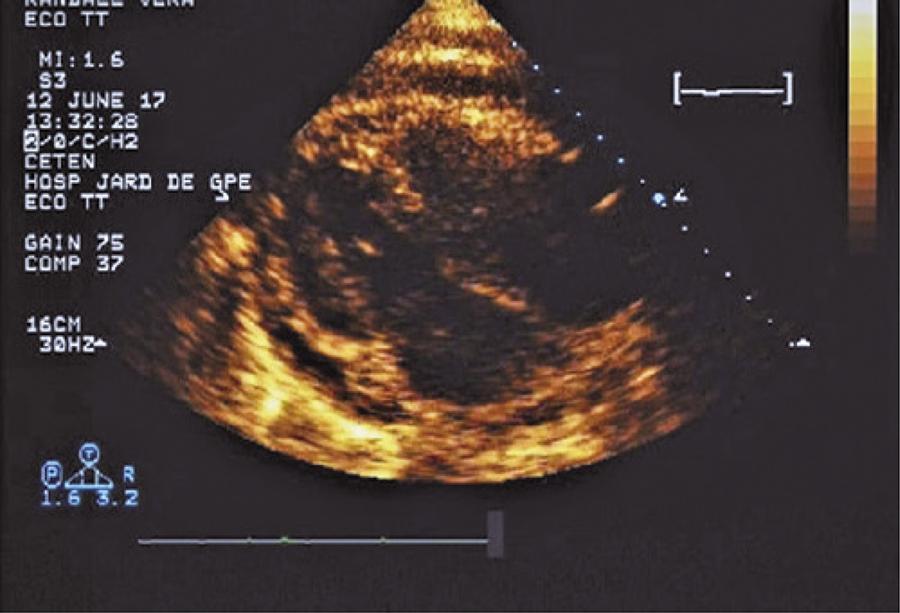
Figura 2
Derrame pericárdico observado pelo ecocardiograma.