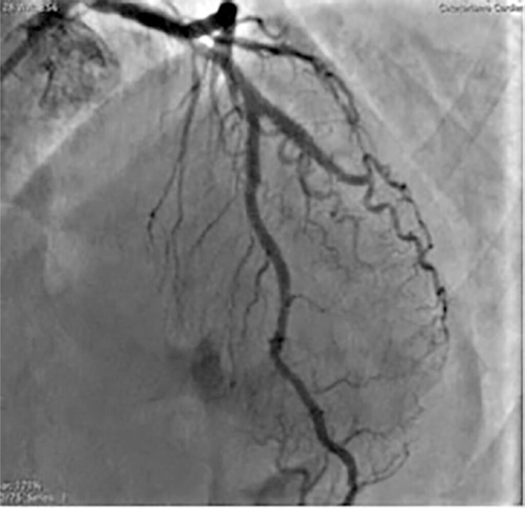
Treatment of in-stent restenosis lesions, especially calcified lesions, with stent underexpansion, generally requires more complex techniques, such as rotational atherectomy. The case reported is a male patient with a 99% in-stent focal restenosis lesion at the origin of the first diagonal branch, where two stents were implanted 14 years ago. After failure of balloon angioplasty alone, ablation of the plaque and part of the stent struts was performed using the rotational atherectomy technique, which allowed the implantation of a new stent which was totally expanded.
Use of rotational atherectomy for treatment of in-stent restenosis with coronary double-mesh stent underexpansion. Case report
Freitas,Daniel de Magalhães and Rocha,Débora Freire Ribeiro and Demuner,Patrícia Ferreira and Prudente,Maurício Lopes and Gardenghi,Giulliano and Barbosa,Flavio Passos. Use of rotational atherectomy for treatment of in-stent restenosis with coronary double-mesh stent underexpansion. Case report. J Transcat Intervent [online]. 2022, vol.30, [cited 2026-05-13], Available from: <https://jotci.org/article/use-of-rotational-atherectomy-for-treatment-of-in-stent-restenosis-with-coronary-double-mesh-stent-underexpansion-case-report/>. ISSN . http://doi.org/10.31160/JOTCI202230A20210034.
Freitas,Daniel de Magalhães; Rocha,Débora Freire Ribeiro; Demuner,Patrícia Ferreira; Prudente,Maurício Lopes; Gardenghi,Giulliano; Barbosa,Flavio Passos. Use of rotational atherectomy for treatment of in-stent restenosis with coronary double-mesh stent underexpansion. Case report. J Transcat Intervent, v.30, Mar. 2022. Available from: <https://jotci.org/article/use-of-rotational-atherectomy-for-treatment-of-in-stent-restenosis-with-coronary-double-mesh-stent-underexpansion-case-report/>. acess on 13 May. 2026. http://doi.org/10.31160/JOTCI202230A20210034.
Freitas,Daniel de Magalhães, & Rocha,Débora Freire Ribeiro, & Demuner,Patrícia Ferreira, & Prudente,Maurício Lopes, & Gardenghi,Giulliano, & Barbosa,Flavio Passos. (2022). Use of rotational atherectomy for treatment of in-stent restenosis with coronary double-mesh stent underexpansion. Case report. J Transcat Intervent, 30, http://doi.org/10.31160/JOTCI202230A20210034.
FreitasDaniel de Magalhães, RochaDébora Freire Ribeiro, DemunerPatrícia Ferreira, PrudenteMaurício Lopes, GardenghiGiulliano, BarbosaFlavio Passos. Use of rotational atherectomy for treatment of in-stent restenosis with coronary double-mesh stent underexpansion. Case report. J Transcat Intervent [Internet]. 2022 Mar [cited 2026 May 13]; 30: Available from: https://jotci.org/article/use-of-rotational-atherectomy-for-treatment-of-in-stent-restenosis-with-coronary-double-mesh-stent-underexpansion-case-report/. http://doi.org/10.31160/JOTCI202230A20210034.