Hemophilia A and B, although rare, are the most common clotting disorders in humans. With the advent of prophylaxis and improved clotting factor replacement therapy, patients with hemophilia have reached a life expectancy similar to that of the general population, leading to an increase in cardiovascular risk factors and consequently, coronary artery disease. The need for antiplatelet and anticoagulant therapy in these patients further increases the bleeding tendency. Evidence and recommendations for these patients in procedures such as percutaneous coronary intervention are scarce in the literature.
Patient with hemophilia and coronary artery disease in the preoperative period of liver transplantation
Kroll,Priscila Nasser de Carvalho and Carvalho,Vinícius Nasser de. Patient with hemophilia and coronary artery disease in the preoperative period of liver transplantation. J Transcat Intervent [online]. 2022, vol.30, [cited 2026-05-13], Available from: <https://jotci.org/article/patient-with-hemophilia-and-coronary-artery-disease-in-the-preoperative-period-of-liver-transplantation/>. ISSN . http://doi.org/10.31160/JOTCI202230A20210042.
Kroll,Priscila Nasser de Carvalho; Carvalho,Vinícius Nasser de. Patient with hemophilia and coronary artery disease in the preoperative period of liver transplantation. J Transcat Intervent, v.30, Mar. 2022. Available from: <https://jotci.org/article/patient-with-hemophilia-and-coronary-artery-disease-in-the-preoperative-period-of-liver-transplantation/>. acess on 13 May. 2026. http://doi.org/10.31160/JOTCI202230A20210042.
Kroll,Priscila Nasser de Carvalho, & Carvalho,Vinícius Nasser de. (2022). Patient with hemophilia and coronary artery disease in the preoperative period of liver transplantation. J Transcat Intervent, 30, http://doi.org/10.31160/JOTCI202230A20210042.
KrollPriscila Nasser de Carvalho, CarvalhoVinícius Nasser de. Patient with hemophilia and coronary artery disease in the preoperative period of liver transplantation. J Transcat Intervent [Internet]. 2022 Mar [cited 2026 May 13]; 30: Available from: https://jotci.org/article/patient-with-hemophilia-and-coronary-artery-disease-in-the-preoperative-period-of-liver-transplantation/. http://doi.org/10.31160/JOTCI202230A20210042.
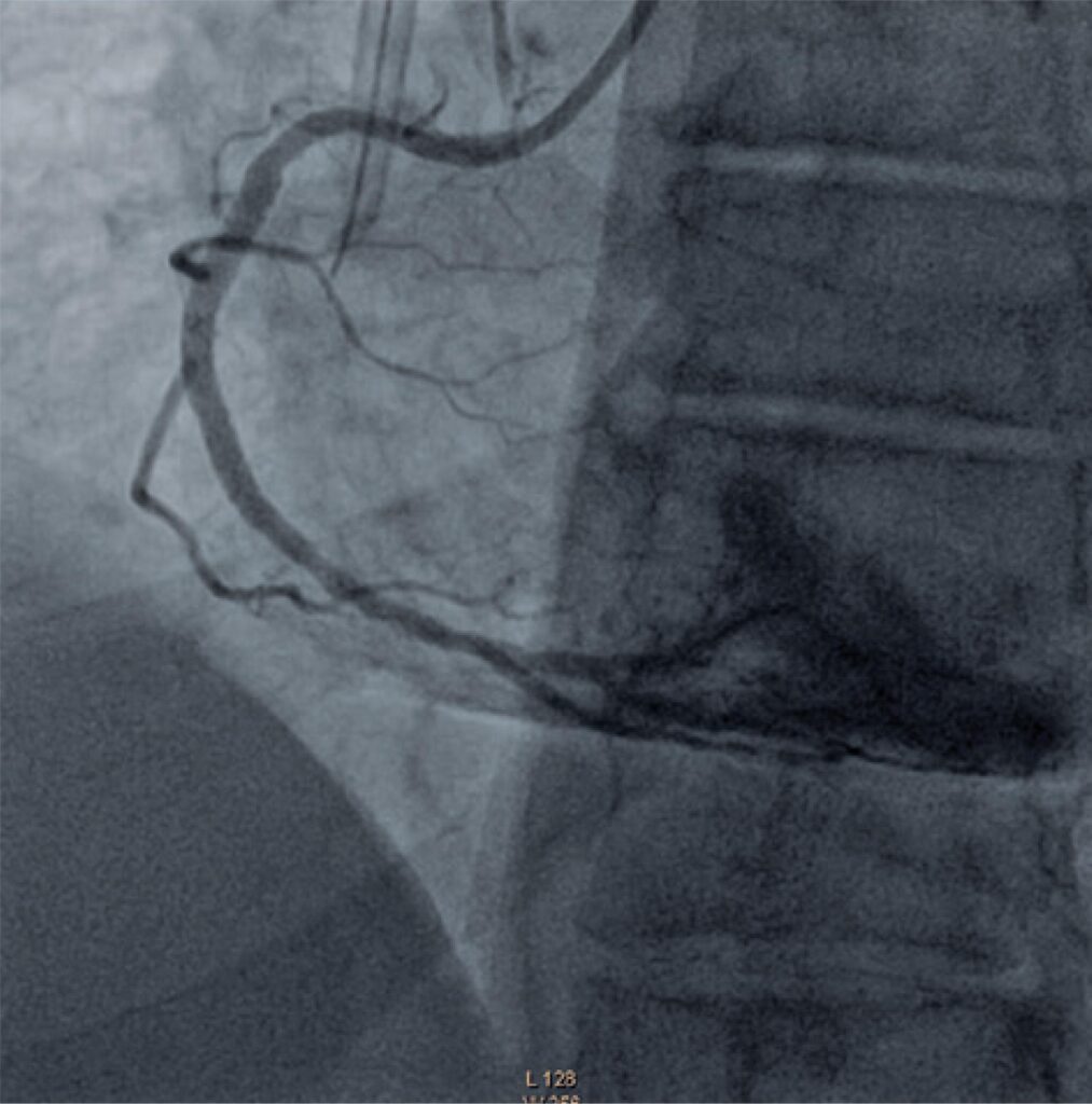
Figure 4
Angiographic control after stent implantation in the right coronary artery.