J Transcat Intervent.2021;29:eA20210021.
A rare congenital combination
DOI: 10.31160/JOTCI202129A20210021
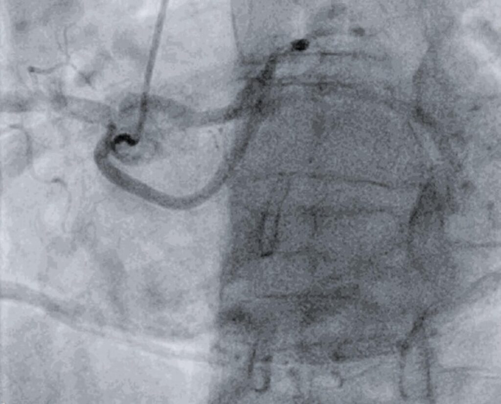
A 61-year-old female patient was referred to the cardiology department for dyspnea upon exertion. A transthoracic echocardiogram showed a severely stenotic bicuspid aortic valve and normal ejection fraction in both ventricles. She was submitted to a routine preoperative coronary angiography. A right radial access was obtained. Despite numerous efforts, it was not possible to visualize the origin of the left main coronary artery at the left ostium. Catheterization of right coronary artery was done and demonstrated a normal implantation at the right sinus. Surprisingly, the left anterior descending artery (LAD) as well as the left circumflex artery (LCx) ostia were found at the right sinus, and were separated with an absent left main coronary artery. No other abnormalities were found on angiography.
[…]
139
