J Transcat Intervent.2021;29:eA20210018.
Coronary thrombosis after COVID-19 infection in a young patient with no comorbidities
DOI: 10.31160/JOTCI202129A20210018
ABSTRACT
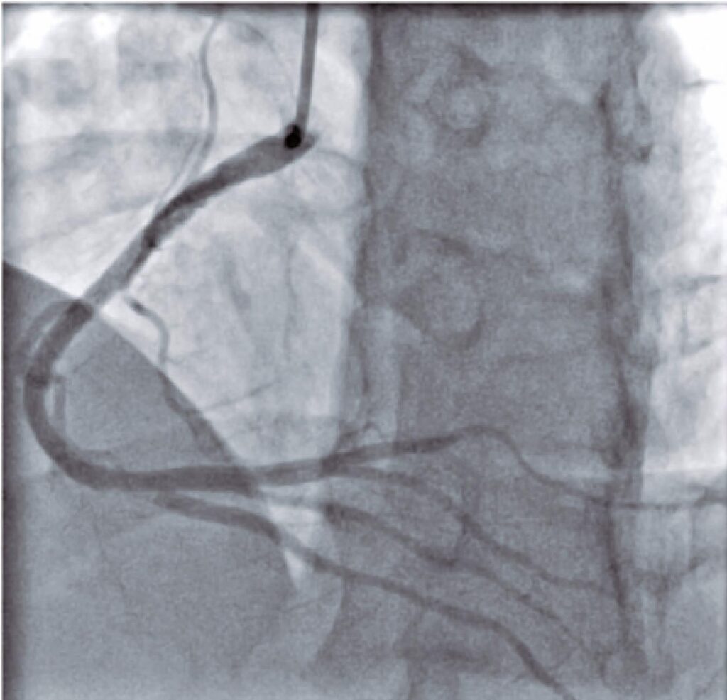
COVID-19 emerged as a viral infection causing severe acute respiratory syndrome, taking global proportions in 2020, with significant impact on public health. The scenario has become alarming since the infection is more severe in patients with cardiovascular diseases, mortality being up to four-fold greater in these patients, as compared to the general population. As a probable contributor, the prothrombotic inflammatory state has been subject of discussion among scientists, with no consolidated treatments in the short and long term. We describe the case of a young patient, with no cardiovascular risk factors, with ST-segment elevation myocardial infarction caused by coronary thrombosis, in the late period after COVID-19 infection, and reviewed the most recent recommendations for its treatment.
447
