J Transcat Intervent.2021;29:eA20210021.
Uma rara combinação congênita
DOI: 10.31160/JOTCI202129A20210021
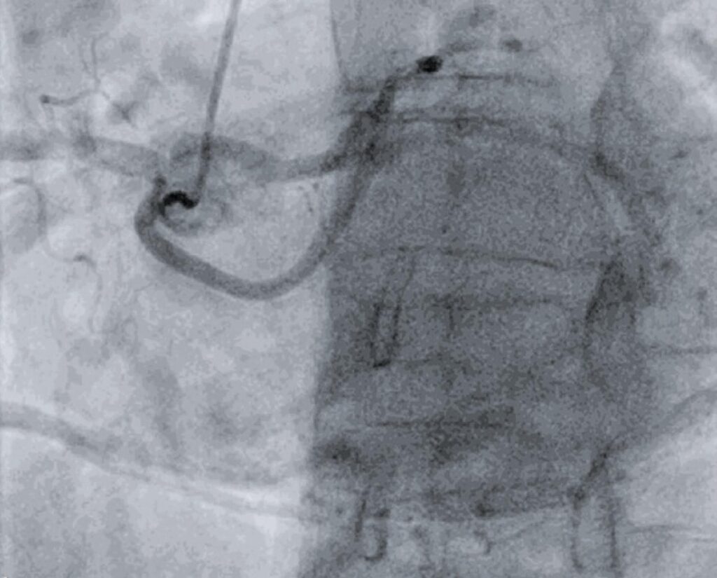
Paciente do sexo feminino, 61 anos, foi encaminhada ao Departamento de Cardiologia por dispneia aos mínimos esforços. Uma ecocardiografia transesofágica revelou válvula aórtica bicúspide com estenose grave e fração de ejeção normal nos dois ventrículos. Realizou coronariografia pré-operatória de rotina. Optou-se por acesso radial direito. Apesar de diversas tentativas, não foi possível visualizar a origem do tronco da coronária esquerda no óstio esquerdo. Realizou-se cateterismo da artéria coronária direita, que mostrou um implante normal no seio direito. Surpreendentemente, os óstios das artérias descendente anterior (ADA) e circunflexa (Cx) foram encontrados no seio direito, estavam separados e com tronco da coronária esquerda ausente. Não foram encontradas outras alterações na angiografia.
[…]
139
