J Transcat Intervent.2021;29:eA20210018.
Trombose coronariana em paciente jovem sem comorbidades após infecção pela COVID-19
DOI: 10.31160/JOTCI202129A20210018
RESUMO
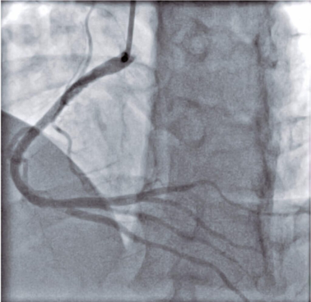
A COVID-19 emergiu como uma infecção viral causadora da síndrome respiratória aguda grave, tomando proporções globais no ano de 2020, com impactos significativos na saúde pública. A maior severidade da infecção em portadores de doenças cardiovasculares tem tornado o cenário alarmante, com mortalidade até quatro vezes maior em relação à população geral. Como provável contribuinte, o estado inflamatório pró-trombótico vem sendo alvo de discussão no meio científico, ainda sem terapêuticas consolidadas a curto e longo prazo. Descrevemos o caso de um paciente jovem, sem fatores de risco cardiovasculares, com infarto agudo do miocárdio com supradesnivelamento do segmento ST causado por trombose coronariana no período tardio pós-infecção pela COVID-19, revisando as mais recentes recomendações para seu tratamento.
447
