J Transcat Intervent.2022;30:eA20210042.
Paciente hemofílico com doença arterial coronariana em pré-operatório de transplante de fígado
DOI: 10.31160/JOTCI202230A20210042
RESUMO
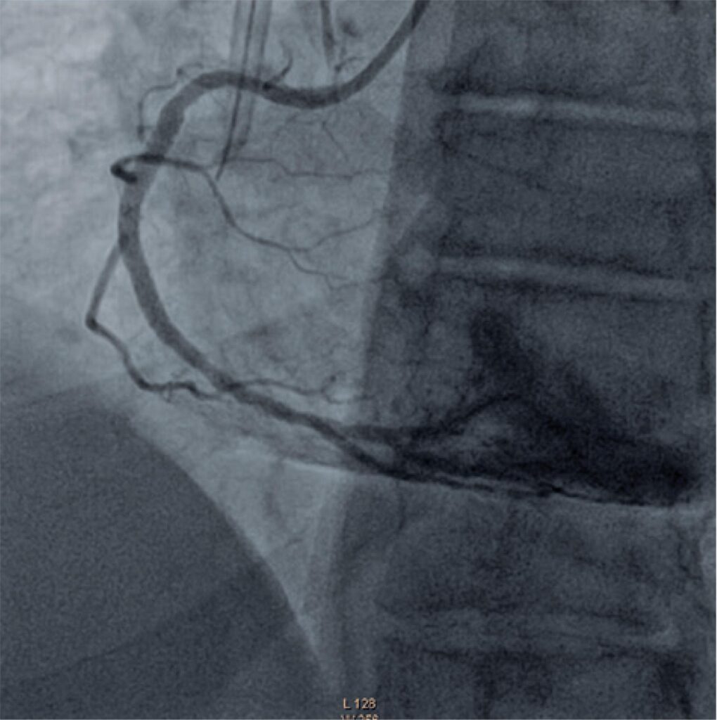
As hemofilias A e B, apesar de raras, são os distúrbios de coagulação que mais ocorrem em homens. Com o advento das profilaxias e a melhoria da terapia de reposição do fator de coagulação, pacientes com hemofilia têm atingido expectativa de vida semelhante à da população geral, levando ao aumento dos fatores de risco cardiovasculares e à consequente doença aterosclerótica coronariana. A necessidade de terapia antiplaquetária e anticoagulante nesses pacientes aumenta ainda mais a tendência a sangramentos. Evidências e recomendações para esses pacientes em procedimentos como intervenção coronária percutânea são escassos na literatura.
Palavras-chave: Doença da artéria coronariana; Hemofilia; Período pré-operatório; Transplante de fígado
542
