J Transcat Intervent.2020;28:eA2020000007.
Oclusão transcateter de comunicação interatrial do tipo seio venoso – uma nova opção terapêutica?
DOI: 10.31160/JOTCI202028A20200007
RESUMO
Introdução
O tratamento percutâneo para comunicação interatrial é usado mundialmente como primeira opção terapêutica. Seu uso é restrito a comunicações interatriais localizadas dentro dos limites da fossa oval. Todas as outras comunicações do septo atrial são tradicionalmente submetidas à cirurgia. A comunicação interatrial do tipo seio venoso é o segundo defeito mais frequente do septo atrial. Os diâmetros são geralmente grandes e propensos à sobrecarga cardíaca direita. Além disso, o diagnóstico por ecocardiografia transtorácica é difícil de ser realizado, sendo frequentemente descoberto em idade um pouco avançada. Os pacientes com comunicação interatrial do tipo seio venoso são geralmente encaminhados para correção cirúrgica, devido a características anatômicas desfavoráveis, que impedem o uso de dispositivos de malha de nitinol para fechamento de comunicação interatrial. O objetivo desse artigo é apresentar uma nova técnica transcateter para oclusão de comunicação interatrial do tipo seio venoso na veia cava superior.
Métodos
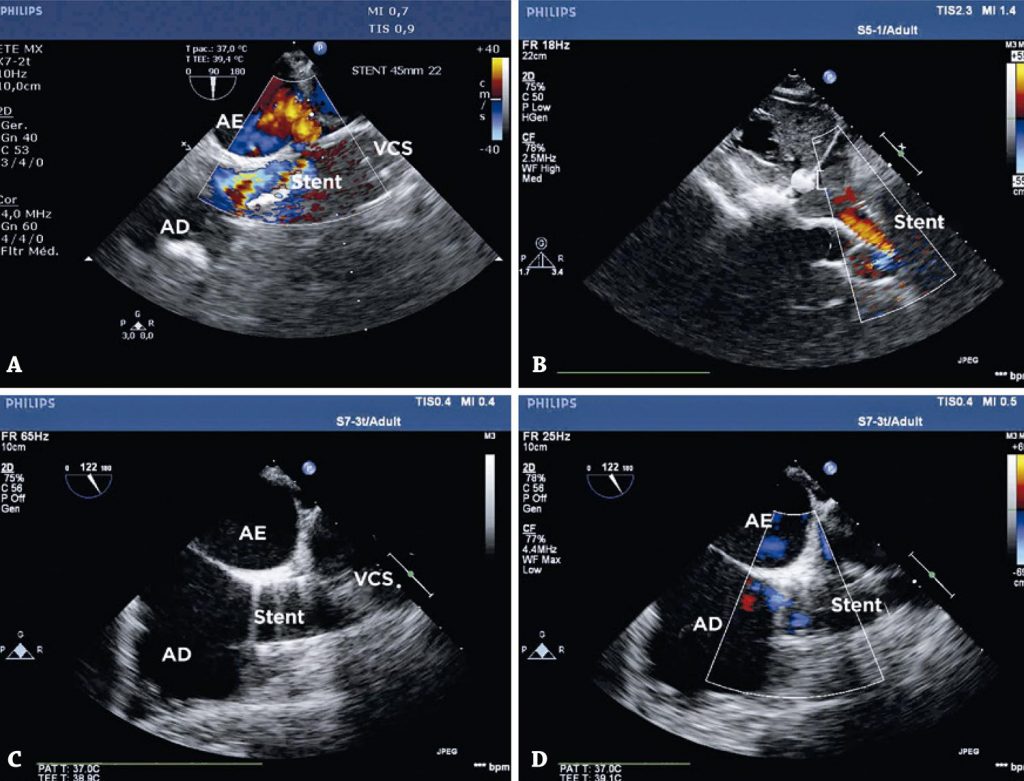
Todos os pacientes foram selecionados por imagens de ecocardiograma transesofágico e, após consentimento livre e informado, foram encaminhados para uma tentativa de oclusão transcateter. Os procedimentos foram realizados sob anestesia geral e intubação orotraqueal. Os traçados de pressão foram obtidos por cateterismo das câmaras direita e esquerda. Foram realizadas angiografias de contraste seletivo na veia cava superior e na veia pulmonar superior direita. A angiografia seletiva simultânea da veia pulmonar superior direita foi obtida após a oclusão da veia cava superior com balões de maior tamanho. Os pacientes que apresentaram persistência do fluxo da veia pulmonar para o átrio esquerdo, apesar da oclusão da veia cava superior, foram submetidos ao fechamento da comunicação interatrial do tipo seio venoso por meio de stents cobertos, implantados na veia cava superior para corrigir o defeito.
Resultados
Quatro pacientes (dois homens) foram selecionados para procedimentos de oclusão. A idade variou de 30 a 53 anos. O implante foi possível em 50% dos pacientes. No restante, a oclusão da veia cava superior mostrou interrupção do fluxo da veia pulmonar superior direita nesse nível. O procedimento foi interrompido, e os pacientes foram encaminhados eletivamente para cirurgia. Não houve shunts residuais nos pacientes tratados, nem complicações relacionadas ao procedimento.
Conclusão
A oclusão transcateter da comunicação interatrial do tipo seio venoso é uma alternativa atraente à cirurgia. São necessários o acompanhamento mais longo e um número maior de casos para determinar a eficácia e a segurança desse procedimento.
1.564
