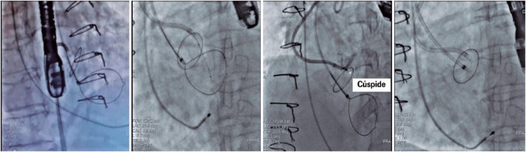
O implante de valva aórtica transcateter é considerado um tratamento padrão para muitos pacientes sintomáticos com estenose aórtica grave. A oclusão da artéria coronária após o implante de valva aórtica transcateter está associada à taxa de mortalidade de até 50%. Neste relato de caso, descrevemos um paciente com disfunção grave da bioprótese aórtica, com alto risco de obstrução coronária após o implante de valva aórtica transcateter. Esse paciente foi submetido ao procedimento BASILICA, seguido do implante de valva aórtica transcateter valve-in-valve. O paciente teve boa melhora e recebeu alta hospitalar 2 dias depois, sem quaisquer sintomas. Ele permanecia assintomático aos 6 meses de acompanhamento.
Procedimento BASILICA para prevenção de obstrução coronária durante implante de valva aórtica transcateter: relato de caso da América Latina
Júnior,Sidney Munhoz and Diehl,Daniel and Martins,Estêvão Carvalho de Campos and Costa,Marcio José Montenegro and Franco,Anna Carolina and Oliveira,Dinaldo Cavalcanti. Procedimento BASILICA para prevenção de obstrução coronária durante implante de valva aórtica transcateter: relato de caso da América Latina. J Transcat Intervent [online]. 2021, vol.29, [cited 2026-05-13], Available from: <https://jotci.org/pt-br/article/procedimento-basilica-para-prevencao-de-obstrucao-coronaria-durante-implante-de-valva-aortica-transcateter-relato-de-caso-da-america-latina/>. ISSN . http://doi.org/10.31160/JOTCI202129A20210031.
Júnior,Sidney Munhoz; Diehl,Daniel; Martins,Estêvão Carvalho de Campos; Costa,Marcio José Montenegro; Franco,Anna Carolina; Oliveira,Dinaldo Cavalcanti. Procedimento BASILICA para prevenção de obstrução coronária durante implante de valva aórtica transcateter: relato de caso da América Latina. J Transcat Intervent, v.29, out. 2021. Available from: <https://jotci.org/pt-br/article/procedimento-basilica-para-prevencao-de-obstrucao-coronaria-durante-implante-de-valva-aortica-transcateter-relato-de-caso-da-america-latina/>. acess on 13 May. 2026. http://doi.org/10.31160/JOTCI202129A20210031.
Júnior,Sidney Munhoz, & Diehl,Daniel, & Martins,Estêvão Carvalho de Campos, & Costa,Marcio José Montenegro, & Franco,Anna Carolina, & Oliveira,Dinaldo Cavalcanti. (2021). Procedimento BASILICA para prevenção de obstrução coronária durante implante de valva aórtica transcateter: relato de caso da América Latina. J Transcat Intervent, 29, http://doi.org/10.31160/JOTCI202129A20210031.
JúniorSidney Munhoz, DiehlDaniel, MartinsEstêvão Carvalho de Campos, CostaMarcio José Montenegro, FrancoAnna Carolina, OliveiraDinaldo Cavalcanti. Procedimento BASILICA para prevenção de obstrução coronária durante implante de valva aórtica transcateter: relato de caso da América Latina. J Transcat Intervent [Internet]. 2021 out [cited 2026 May 13]; 29: Available from: https://jotci.org/pt-br/article/procedimento-basilica-para-prevencao-de-obstrucao-coronaria-durante-implante-de-valva-aortica-transcateter-relato-de-caso-da-america-latina/. http://doi.org/10.31160/JOTCI202129A20210031.