J Transcat Intervent.2022;30:eA2021000039.
Quando a resposta já estava lá
DOI: 10.31160/JOTCI202230A20210039
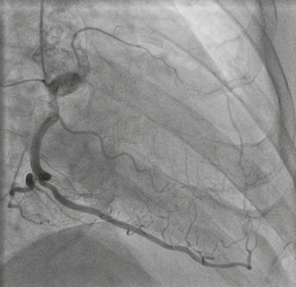
Um homem de 67 anos com vários fatores de risco cardiovascular foi encaminhado para consulta cardiológica, devido à angina de esforço classe II/IV da classificação da Canadian Cardiology Society (CCS), nos últimos 6 meses, em terapia medicamentosa otimizada. O eletrocardiograma de repouso e o ecocardiograma transtorácico (ETT) estavam normais. O teste de esforço em esteira foi positivo. A angiografia coronária revelou uma oclusão total crônica (OTC) proximal longa da artéria descendente anterior (DA; J-CTO=1, Rentrop3), OTC distal da artéria circunflexa (J-CTO=0, Rentrop3) e estenose de 50% no ramo posterolateral (escore SYNTAX 21).
Levando em consideração os sintomas, os resultados angiográficos e a preferência do paciente, planejou-se intervenção coronária percutânea (ICP) da DA, como prioridade, que foi realizada com uso de acesso birradial, injeção contralateral e abordagem anterógrada com escalonamento de fios ( ). Um fio-guia Sion foi avançado até a DA distal, com a ajuda de um microcateter FineCross . Dois stents farmacológicos sobrepostos com everolimus (2,5x48mm e 3x23mm) foram implantados na DA proximal, após a devida pré-dilatação. Imediatamente após a pós-dilatação com balão não complacente (3x23mm) em 22atm, o paciente desenvolveu uma perfuração grave do tipo Ellis III no segmento médio da DA (). O balão da pós-dilatação foi insuflado novamente a 8atm no local da perfuração, para estancar o sangramento. Foi realizado um ETT à beira do leito, que revelou pequeno derrame pericárdico circunferencial sem impacto hemodinâmico.
[…]
194
