A troca valvar mitral transcateter apresenta-se como uma nova opção terapêutica para o tratamento de próteses cirúrgicas degeneradas em pacientes com alto risco cirúrgico. É crescente o número de procedimentos valve-in-valve mitral ao longo dos últimos anos. O presente caso relata uma experiência inicial com esse tipo de procedimento, sendo efetivado de forma segura e eficaz em uma paciente idosa de alto risco cirúrgico para retroca valvar.
Troca valvar transcateter valve-in-valve mitral por via transeptal em paciente com prótese mitral biológica degenerada
Carmo,Tainá Valentim de Lima Correia Coelho and Santana,Nilton de Oliveira and Fonseca,Mauro José Mello and Duarte,Renata Nascimento and Esteves,Vinícius Borges Cardoso. Troca valvar transcateter valve-in-valve mitral por via transeptal em paciente com prótese mitral biológica degenerada. J Transcat Intervent [online]. 2022, vol.30, [cited 2026-04-29], Available from: <https://jotci.org/pt-br/article/troca-valvar-transcateter-valve-in-valve-mitral-por-via-transeptal-em-paciente-com-protese-mitral-biologica-degenerada/>. ISSN . .
Carmo,Tainá Valentim de Lima Correia Coelho; Santana,Nilton de Oliveira; Fonseca,Mauro José Mello; Duarte,Renata Nascimento; Esteves,Vinícius Borges Cardoso. Troca valvar transcateter valve-in-valve mitral por via transeptal em paciente com prótese mitral biológica degenerada. J Transcat Intervent, v.30, maio. 2022. Available from: <https://jotci.org/pt-br/article/troca-valvar-transcateter-valve-in-valve-mitral-por-via-transeptal-em-paciente-com-protese-mitral-biologica-degenerada/>. acess on 29 Apr. 2026. .
Carmo,Tainá Valentim de Lima Correia Coelho, & Santana,Nilton de Oliveira, & Fonseca,Mauro José Mello, & Duarte,Renata Nascimento, & Esteves,Vinícius Borges Cardoso. (2022). Troca valvar transcateter valve-in-valve mitral por via transeptal em paciente com prótese mitral biológica degenerada. J Transcat Intervent, 30, .
CarmoTainá Valentim de Lima Correia Coelho, SantanaNilton de Oliveira, FonsecaMauro José Mello, DuarteRenata Nascimento, EstevesVinícius Borges Cardoso. Troca valvar transcateter valve-in-valve mitral por via transeptal em paciente com prótese mitral biológica degenerada. J Transcat Intervent [Internet]. 2022 maio [cited 2026 Apr 29]; 30: Available from: https://jotci.org/pt-br/article/troca-valvar-transcateter-valve-in-valve-mitral-por-via-transeptal-em-paciente-com-protese-mitral-biologica-degenerada/. .
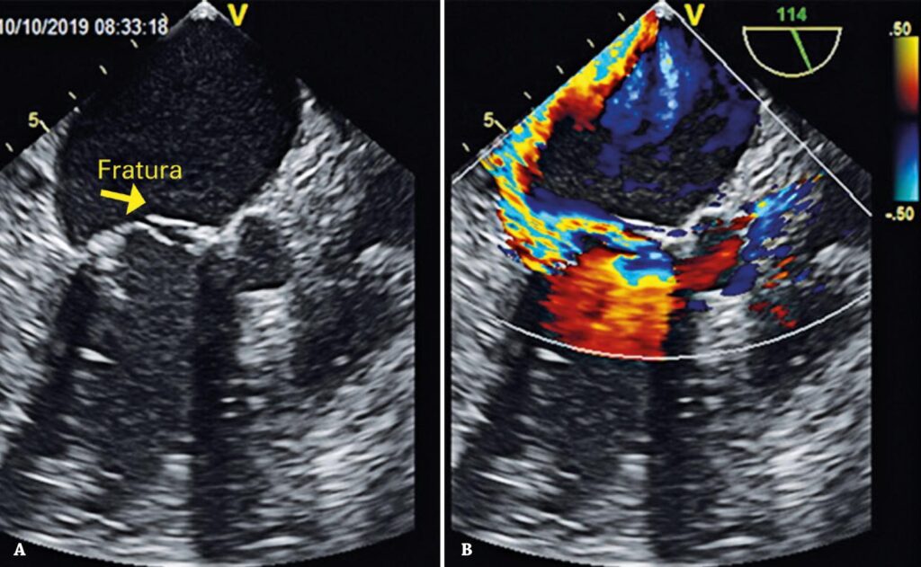
Figura 1
Ecocardiograma transesofágico pré-procedimento. (A) Evidência de fratura de prótese valvar mitral biológica prévia. (B) Doppler colorido evidenciando refluxo mitral importante.