As anomalias das artérias coronárias são alterações congênitas em sua origem, curso e/ou estrutura. A comunicação intercoronariana é um subconjunto muito raro, com fluxo sanguíneo uni- ou bidirecional entre duas ou mais artérias coronárias. Apresentamos o caso de um paciente do sexo masculino, com 70 anos, com síndrome coronária aguda, cuja angiografia revelou, por acaso, uma comunicação surpreendente e muito rara entre as artérias circunflexa e coronária direita.
Comunicação intercoronariana entre as artérias circunflexa e coronária direita: uma anomalia coronariana extremamente rara
Oliveira,Marcos Danillo Peixoto and Navarro,Ednelson Cunha and Zampier,Lis Bastos and Santos,Laura Fadel Monteiro dos and Pedroso,Isabel de Araújo and Sá,Glenda Alves de and Júnior,Hélio José Castello and Cantarelli,Marcelo José de Carvalho. Comunicação intercoronariana entre as artérias circunflexa e coronária direita: uma anomalia coronariana extremamente rara. J Transcat Intervent. [online]. 2019, vol.27, [cited 2026-05-13], Available from: <https://jotci.org/pt-br/article/comunicacao-intercoronariana-entre-as-arterias-circunflexa-e-coronaria-direita-uma-anomalia-coronariana-extremamente-rara/>. ISSN . http://doi.org/10.31160/JOTCI201927A20180008.
Oliveira,Marcos Danillo Peixoto; Navarro,Ednelson Cunha; Zampier,Lis Bastos; Santos,Laura Fadel Monteiro dos; Pedroso,Isabel de Araújo; Sá,Glenda Alves de; Júnior,Hélio José Castello; Cantarelli,Marcelo José de Carvalho. Comunicação intercoronariana entre as artérias circunflexa e coronária direita: uma anomalia coronariana extremamente rara. J Transcat Intervent., v.27, maio. 2019. Available from: <https://jotci.org/pt-br/article/comunicacao-intercoronariana-entre-as-arterias-circunflexa-e-coronaria-direita-uma-anomalia-coronariana-extremamente-rara/>. acess on 13 May. 2026. http://doi.org/10.31160/JOTCI201927A20180008.
Oliveira,Marcos Danillo Peixoto, & Navarro,Ednelson Cunha, & Zampier,Lis Bastos, & Santos,Laura Fadel Monteiro dos, & Pedroso,Isabel de Araújo, & Sá,Glenda Alves de, & Júnior,Hélio José Castello, & Cantarelli,Marcelo José de Carvalho. (2019). Comunicação intercoronariana entre as artérias circunflexa e coronária direita: uma anomalia coronariana extremamente rara. J Transcat Intervent., 27, http://doi.org/10.31160/JOTCI201927A20180008.
OliveiraMarcos Danillo Peixoto, NavarroEdnelson Cunha, ZampierLis Bastos, SantosLaura Fadel Monteiro dos, PedrosoIsabel de Araújo, SáGlenda Alves de, JúniorHélio José Castello, CantarelliMarcelo José de Carvalho. Comunicação intercoronariana entre as artérias circunflexa e coronária direita: uma anomalia coronariana extremamente rara. J Transcat Intervent. [Internet]. 2019 maio [cited 2026 May 13]; 27: Available from: https://jotci.org/pt-br/article/comunicacao-intercoronariana-entre-as-arterias-circunflexa-e-coronaria-direita-uma-anomalia-coronariana-extremamente-rara/. http://doi.org/10.31160/JOTCI201927A20180008.
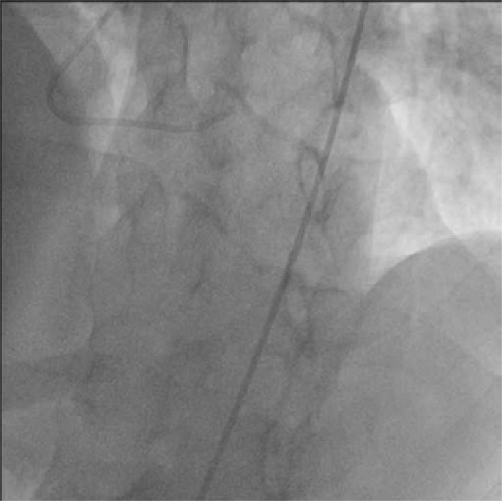
Vídeo 3
Injeção de contraste na artéria coronária esquerda mostra enchimento retrógrado da artéria coronária direita e seus ramos, com padrão de fluxo bidirecional.