Apresentamos o caso debutante na América Latina de reparos transcateteres edge-to-edge nas valvas mitral e tricúspide em um único procedimento em paciente de alto risco para cirurgia. A paciente evoluía com insuficiência cardíaca e limitações em suas atividades diárias quando foi submetida ao procedimento, no qual foram realizados os reparos transcateteres das valvas mitral e tricúspide. Aos 6 meses de evolução, estava assintomática e realizando suas atividades diárias. Debatemos as recomendações mais atualizadas sobre a terapia transcateter para coexistência dessas doenças valvares, assim como expomos as lacunas no conhecimento.
Estreia da terapia de reparo transcateter edge-to-edge nas valvas tricúspide e mitral em um único procedimento na América Latina: relato de caso
Martins,Estêvão Carvalho de Campos and Bernardi,Fernando Luiz de Melo and Oliveira,Dinaldo Cavalcanti and Leite,Rogério Sarmento and Pestana,Lisley Riano da Silva and Fuks,Valério and Frighetto,João Luiz and Júnior,Sidney Munhoz and Cavalcanti,Frederico Louzada and Santos,Diego Vilela and Taramasso,Maurizio. Estreia da terapia de reparo transcateter edge-to-edge nas valvas tricúspide e mitral em um único procedimento na América Latina: relato de caso. J Transcat Intervent [online]. 2022, vol.30, [cited 2026-05-15], Available from: <https://jotci.org/pt-br/article/estreia-da-terapia-de-reparo-transcateter-edge-to-edge-nas-valvas-tricuspide-e-mitral-em-um-unico-procedimento-na-america-latina-relato-de-caso/>. ISSN . .
Martins,Estêvão Carvalho de Campos; Bernardi,Fernando Luiz de Melo; Oliveira,Dinaldo Cavalcanti; Leite,Rogério Sarmento; Pestana,Lisley Riano da Silva; Fuks,Valério; Frighetto,João Luiz; Júnior,Sidney Munhoz; Cavalcanti,Frederico Louzada; Santos,Diego Vilela; Taramasso,Maurizio. Estreia da terapia de reparo transcateter edge-to-edge nas valvas tricúspide e mitral em um único procedimento na América Latina: relato de caso. J Transcat Intervent, v.30, jun. 2022. Available from: <https://jotci.org/pt-br/article/estreia-da-terapia-de-reparo-transcateter-edge-to-edge-nas-valvas-tricuspide-e-mitral-em-um-unico-procedimento-na-america-latina-relato-de-caso/>. acess on 15 May. 2026. .
Martins,Estêvão Carvalho de Campos, & Bernardi,Fernando Luiz de Melo, & Oliveira,Dinaldo Cavalcanti, & Leite,Rogério Sarmento, & Pestana,Lisley Riano da Silva, & Fuks,Valério, & Frighetto,João Luiz, & Júnior,Sidney Munhoz, & Cavalcanti,Frederico Louzada, & Santos,Diego Vilela, & Taramasso,Maurizio. (2022). Estreia da terapia de reparo transcateter edge-to-edge nas valvas tricúspide e mitral em um único procedimento na América Latina: relato de caso. J Transcat Intervent, 30, .
MartinsEstêvão Carvalho de Campos, BernardiFernando Luiz de Melo, OliveiraDinaldo Cavalcanti, LeiteRogério Sarmento, PestanaLisley Riano da Silva, FuksValério, FrighettoJoão Luiz, JúniorSidney Munhoz, CavalcantiFrederico Louzada, SantosDiego Vilela, TaramassoMaurizio. Estreia da terapia de reparo transcateter edge-to-edge nas valvas tricúspide e mitral em um único procedimento na América Latina: relato de caso. J Transcat Intervent [Internet]. 2022 jun [cited 2026 May 15]; 30: Available from: https://jotci.org/pt-br/article/estreia-da-terapia-de-reparo-transcateter-edge-to-edge-nas-valvas-tricuspide-e-mitral-em-um-unico-procedimento-na-america-latina-relato-de-caso/. .
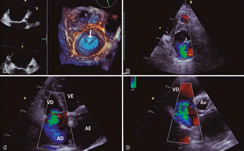
Figura 1
Ecocardiograma transtorácico tridimensional pré-procedimento. (A) Reconstrução tridimensional da válvula mitral mostrando prolapso do folheto anterior no segmento A2 (seta). (B) Visão frontal da válvula mitral mostrando o jato regurgitante central (A2/P2). (C) Corte 4 câmaras mostrando regurgitação tricúspide severa. (D) Eixo curto confirmando regurgitação tricúspide severa.